Paciente femenino, 51 años de edad, es referido al Instituto de Diagnóstico Maxilofacial (IDM) para evaluación tomográfica de las piezas anterosuperiores por traumatismo.
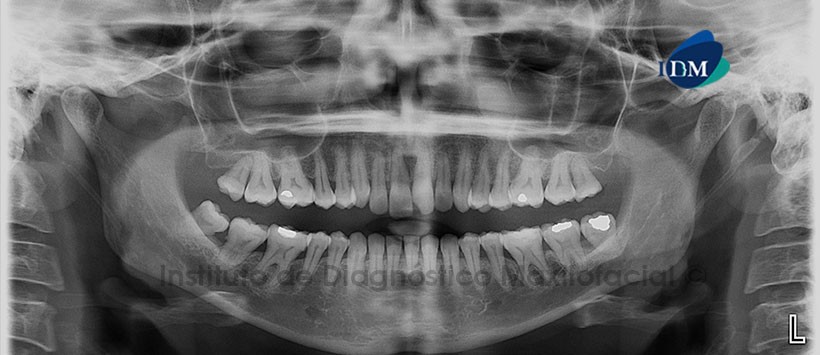
En la radiografía panorámica (Figura 1) se aprecia fractura coronaria inciso-mesial en pieza 2.1 y ensanchamiento del espacio periodontal de piezas 11 y 21.
A la evaluación de la tomografía volumétrica (CBCT) en cortes axiales (Figura 2), transaxiales (Figura 3) y tangenciales (Figura 4), se evidencia fracura coronaria de pieza 2.1 que no evidencia compromiso de la cámara pulpar; además se aprecia luxación lateral hacia vestibular de las piezas 1,2, 1.1 y 2.1, asociado a la fractura ósea de los procesos alveolares (tabla ósea vestibular) con desplazamiento de fragmentos óseo a nivel de piezas 1.1 y 2.1. Se aprecian dos imágenes hipodensas en el tejido blando, a nivel periapical de piezas 1.1 y 2.1 compatibles con enfisemas.
En las reconstrucciones 3D se observa luxación lateral de piezas 1.2, 1.1, 2.1, con fractura ósea de la tabla vestibular a nivel de piezas 1.1 y 2.1 (Figura 5 y 6)
Conclusión:
- Fractura coronaria no compliacada de pieza 2.1
- Luxación lateral de piezas 1.2, 1.1 y 2.1
- Fractura del proceso alveolar a nivel de piezas 1.1 y 2.1
Paráfrasis
Una luxación del diente es un desprendimiento del diente desde su posición normal en el alveolo. La luxación lateral se define como el desplazamiento del diente distinto al axial. El desplazamiento se acompaña de contusión, fragmentación o fractura del hueso alveolar. Las fuerzas horizontales desplazan la corona hacia palatino o vestibular y el ápice radicular vestibular o palatalmente. El daño puede incluir la ruptura del ligamento periodontal (LP) y el suministro neurovascular de la pulpa, la compresión del LP y la separación del suministro de la pulpa neurovascular.
Los varones son más afectados que las mujeres. La luxación lateral maxilar es más común que la mandibular. La mayoría de las lesiones resultan de caídas, accidentes de tránsito, deportes y violencia.
La evaluación del diente debe incluir pruebas de movilidad, percusión y pruebas de pulpa. Las radiografías (periapicales, oclusales, laterales) pueden mostrar un aumento del espacio del LP y desplazamiento del ápice.
Referencias:
- Cyrus D.M. Afrashtehfar, MD; Annie Marleau, DMD; Kelvin I. Afrashtehfar,J Can Dent Assoc 2016;82:g21.
http://www.jcda.ca/g21 - Honório, H. M., de Alencar, C. R. B., Pereira Júnior, E. S., de Oliveira, D. S. B., de Oliveira, G. C., & Rios, D. (2015). Posttraumatic Displacement Management: Lateral Luxation and Alveolar Bone Fracture in Young Permanent Teeth with 5 Years of Follow-Up. Case Reports in Dentistry, 2015, 634237.
https://www.ncbi.nlm.nih.gov/pmc/articles/PMC4370105/pdf/CRID2015-634237.pdf - Serra-Pastor, B., Penarrocha-Diago, M., Penarrocha-Diago, M. Treatment and restoration of adult dentoalveolar trauma: A clinical case report. Journal of Clinical and Experimental Dentistry, 8(5), e634–637.
https://www.ncbi.nlm.nih.gov/pmc/articles/PMC5149104/pdf/jced-8-e634.pdf
Autores: CD. Luis Alberto Cueva Príncipe, Mg. Esp. Andrés Agurto Huerta








