Paciente de sexo femenino, 54 años de edad, es referido al Instituto de Diagnóstico Maxilofacial (IDM) para evaluación tomográfica con motivo de colocación de implantes dentales.
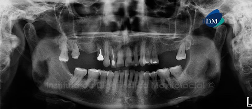
En la radiografía panorámica (Figura 1) se aprecia múltiples restauraciones, extrusión de pieza 18, obturación de conductos en piezas 14 y 12, así como la preparación coronaria y ensanchamiento del espacio periodontal en la pieza 17.
A la evaluación de la tomografía volumétrica (CBCT) mediante cortes axiales y cortes transaxiales (Figura 2 y 3), se visualiza la fusión de la raíz mesio-vestibular con la raíz palatina de la pieza 17 (variante anatómica), además de corroborarse el ensanchamiento periodontal y el defecto óseo angular por mesial. Se aprecia además, en la pieza 21 obturación de conducto en falsa vía y perforación hacia la superficie vestibular del tercio apical radicular asociado a proceso osteolitico pararadicular y periapical.
En las reconstrucciones 3D (Figuras 4, 5 y 6) se aprecia claramente la fusión de la raíz mesio-vestibular con la raíz palatina de la pieza 17.
Conclusión: Fusión radicular en pieza 17 (variante anatómica)
Paráfrasis
El conocimiento de la anatomía y morfología dentaria y del periodonto son factores importantes en la prevención, diagnóstico, pronóstico de enfermedades pulpares que requieran tratamiento endodontico y en el tratamiento periodontal. De esta forma, ciertas características anatómicas no sólo pueden considerarse factores contribuyentes, sino complicar el tratamiento y condicionar el pronóstico individual de los dientes.
Las raíces fusionadas son un aspecto importante en la morfología radicular, ya que pueden ser un factor determinante al existir pérdida ósea o al presentar una raíz corta y contribuir a una proporción corono-raíz desfavorable. Así mismo, tienen un área de superficie menor y pueden presentar movilidad.
Los exámenes radiográficos y tomográficos determinarán la anatomía y morfología exacta de las piezas dentarias.
Referencias:
- Busto B, Flores J, Hassan S. Fusión radicular en molars. Rev Mex Periodontol 2013; 4(3): 101-105.
Enlace aquí - Vázquez D, Hetch P, Martínez M. Sinostosis radicular: Estudio de frecuencia utilizando la radiografía panorámica como método de diagnóstico. Odont. Mex 2012;16( 2 ): 98-101.
Enlace aquí - Santos A. Sinostosis radicular con compromiso del nervio dentario inferior. Revista Kiru 2005; 2(1): 56-62.
Enlace aquí
Autores: CD. Luis Alberto Cueva Príncipe, Mg. Esp. Andrés Agurto Huerta








