Paciente femenino, 42 años de edad, es referido al Instituto de Diagnóstico Maxilofacial – IDM (Sede Miraflores) para evaluación tomográfica para evaluar posibles lesiones en los maxilares.
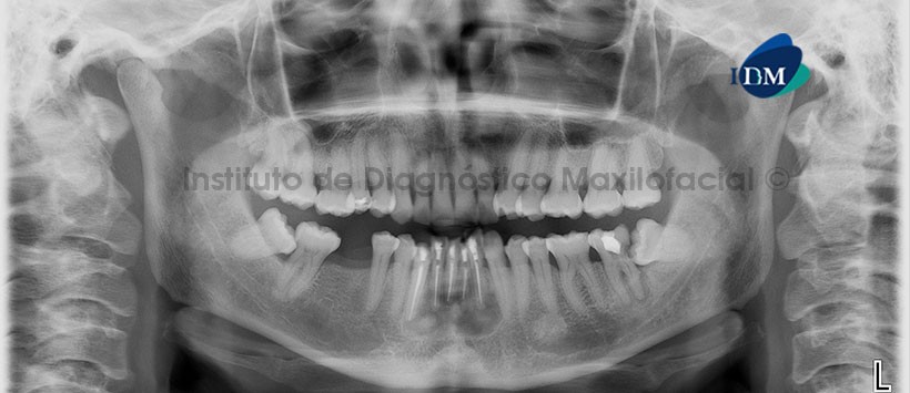
En la radiografía panorámica (Figura 1) se observa una imagen mixta de límites definidos bordes corticalizados en zona periapical de piezas 32, 31, 41, 42, 43; que a su vez presentan tratamientos de conductos radiculares. Además se observa una imagen radiolúcida a nivel periapical de la pieza 3.7 e imágenes radiopacas de densidad ósea a nivel periapical de las piezas 35 y 4.7.
A la evaluación de la tomografía volumétrica (CBCT) en cortes axiales (Figura 2), transaxiales (Figura 3, 4 y 5), se evidencia presencia múltiples imágenes heterogéneas de límites definidos, ubicados a nivel periapical de piezas 17, 16, 12, 11, 37, 32, 31, 41, 42, 43 y 47; con evidencia de expansión ósea a nivel de piezas anteroinferiores y en pieza 17.
En las reconstrucciones 3D se observan las lesiones antes descritas (Figura 6 y 7).
El estudio anatomopatológico determinó el diagnóstico definitivo de Fibroma Osificante.
Conclusión: Fibroma Osificante Multicuadrante
Paráfrasis
Las lesiones fibro-óseas benignas abarcan un grupo de patologías de desórdenes óseos clínicamente diversos que comparten características histopatológicas. Es característico a este grupo el reemplazo de un hueso normal por un tejido compuesto de fibras colágenas, fibroblastos y un grado variable de tejido mineralizado. El diagnóstico definitivo de estas entidades no puede ser obtenido de la evaluación clínica sino mediante estudios histopatológicos.
La OMS clasifica al FO como una neoplasia ósea benigna con afección al esqueleto craneofacial, de mayor incidencia en los maxilares; descrito también en hueso temporal, etmoidal y región orbitaria. Se presenta generalmente entre la 2º y 4º década de vida, con predilección al sexo femenino con una prevalencia de 50 % de todas las lesiones fibrooseas de loas maxilares.. Generalmente asintomático, siendo la deformidad facial su primera manifestación clínica. Radiográficamente se presenta, en la mayoría de los casos, una lesión circunscrita con borde esclerótico y unilocular, aunque han sido reportados FO multiloculares. La apariencia depende de la madurez de la lesión, pudiendo ser radiolúcida, radioopaca o mixta.
El tratamiento consiste en la completa escisión quirúrgica, con bajo porcentaje de recidiva
Referencias:
- Lombardi A., Cerullo M., Garzón J.C., Martínez J., Cuella E.. Fibroma osificante de mandíbula: presentación de un caso y revisión de la literatura. Rev Esp Cirug Oral y Maxilofac. 2009; 31( 4 ): 242-248.
Enlace aquí - Amarista-Rojas F, Carrera L, Villarroel-Dorrego M, Reyes O. Displasia ósea florida. Reporte de un caso y revisio de la literature. Rev Odont Mex 2016;20:123-7.
Enlace aquí - Tayfur M, Tayfur EK, Balcı MG, Deger AN, Cımen FK, Daltaban F. Bilateral synchronous ossifying fibromas of the mandible: a case report. International Journal of Clinical and Experimental Pathology. 2015;8(5):5844-5847.
Enlace aquí
Autores: CD. Luis Alberto Cueva Príncipe, Mg. Esp. Andrés Agurto Huerta









