Paciente masculino, 24 años de edad, es referido al Instituto de Diagnóstico Maxilofacial (IDM) para exámenes radiográficos con motivo de control de tratamiento de ortodoncia.
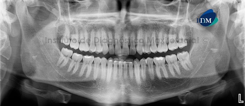
En la radiografía panorámica (Figura 1) se aprecia una imagen radiopaca de densidad cálcica, forma irregular y limites definidos, proyectada a nivel de la rama mandibular derecha, se aprecia además su respectiva imagen fantasma en el lado contralateral de la rama mandibular.
A la evaluación de la tomografía volumétrica (CBCT) mediante cortes axiales, coronales, sagitales (Figura 2), se evidencia una masa hiperdensa de límites definidos y forma irregular localizado en la zona para faríngea del lado izquierdo,
En las reconstrucciones 3D (Figuras 3 y 4) se aprecia con claridad la calcificación antes descrita.
Conclusión: Calcificación en cripta amigdalina (Tonsilolito)
Paráfrasis
Los tonsilolitos son pequeñas concreciones calcificadas que se forman en las criptas de las amígdalas palatinas formados por sales cálcicas como la hidroxiapatita o apatita de carbonato cálcico, oxalatos y otras sales de magnesio o con radicales de amonio, adquiriendo macroscópicamente un aspecto blanquecino o amarillento.
Al estudio imagenológico se pueden observar una forma radiopaca que podría confundirse con cuerpos extraños, dientes desplazados o calcificación de vasos. En la tomografía computadorizada de haz cónico (TCHC) pueden apreciarse imágenes inespecíficas calcificadas en el área amigdalina. El diagnóstico diferencial deberá hacerse con cuerpos extraños, flebolitos, tejidos ectópicos de hueso o cartílago, nódulos linfáticos, enfermedades granulomatosas o la calcificación del ligamento estilohioideo en el síndrome de Eagle.
El tratamiento consiste en la exéresis quirúrgica del cálculo y en el caso de estar situado dentro de la amígdala y sea de gran tamaño se hará necesaria la amigdalectomia.
Referencias:
- Silvestre-Donat FJ, Pla-Mocholi A, Estelles-Ferriol E, Martinez-Mihi V. Giant tonsillolith: Report of a case. Med Oral Patol Oral Cir Bucal 2005;10:239-42.
enlace aquí - Oda et al.: Prevalence and imaging characteristics of detectable tonsilloliths on 482 pairs of consecutive CT and panoramic radiographs. BMC Oral Health 2013 13:54.
enlace aquí - M-A Fauroux et al. Prevalence of palatine tonsilloliths: a retrospective study on 150 consecutive CT examinations. Dentomaxillofacial Radiology 2013; 42, 20120429.
Enlace aquí
Autores: CD. Luis Alberto Cueva Príncipe, Mg. Esp. Andrés Agurto Huerta






