
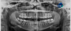
147 – Fisura palatina unilateral
Paciente masculino de 20 años acude al Instituto de Diagnóstico Maxilofacial para evaluación imagenológica a nivel maxilofacial. A la evaluación de la radiografía panorámica se

Paciente masculino de 20 años acude al Instituto de Diagnóstico Maxilofacial para evaluación imagenológica a nivel maxilofacial. A la evaluación de la radiografía panorámica se

Paciente femenino de 70 años de edad, es referido al Instituto de Diagnóstico Maxilofacial – IDM para evaluación tomográfica de zona de piezas 23, 24.

Paciente masculino de 27 años de edad acude al Instituto de Diagnóstico Maxilofacial por evaluación de terceras molares. Motivo por el cual se le realiza

Paciente femenino de 27 años de sexo femenino acude al Instituto de Diagnóstico Maxilofacial para evaluación preoperatoria de cirugía ortognática. A la evaluación de la

Paciente femenino, 54 años de edad, es referido al Instituto de Diagnóstico Maxilofacial – IDM (Sede Miraflores) para evaluación tomográfica por dolor en zona de

Paciente masculino de 17 años de edad acude al Instituto de Diagnóstico Maxilofacial debido a que clínicamente no se visualiza la pieza 35. Para lo

Paciente femenino, 56 años de edad, es referido al Instituto de Diagnóstico Maxilofacial – IDM (Sede Miraflores) para evaluación tomográfica de control postquirúrgico de cirugía

Paciente de sexo femenino de 38 años de edad acude al Instituto de Diagnóstico Maxilofacial para evaluación de la pieza 36, debido a la perdida

Paciente masculino, 17 años de edad, es referido al Instituto de Diagnóstico Maxilofacial (IDM) para evaluación tomográfica de premolar retenido. En la radiografía panorámica (Figura

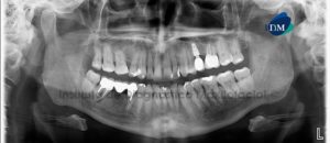
Paciente masculino de 61 años acude al Instituto de Diagnostico Maxilofacial para evaluación general de las piezas dentarias. A la evaluación panorámica se aprecia a

Paciente femenino de 19 años de edad, es referido al Instituto de Diagnóstico Maxilofacial – IDM (Sede Miraflores) para exámenes radiográficos para tratamiento ortodóntico y

Paciente femenino de 34 años es referido al Instituto de Diagnóstico Maxilofacial para seguimiento de lesión en mandíbula. Se muestra la radiografía panorámica inicial (Figura

Paciente de 36 años acude al Instituto de Diagnóstico Maxilofacial para su evaluación por motivo de haber recibido un golpe en zona mandibular. A la

Paciente de sexo femenino de 50 años de edad es referida al Instituto de Diagnóstico Maxilofacial (IDM) para su evaluación y diagnóstico. A la evaluación

Paciente femenino de 14 años es referido al Instituto de Diagnóstico Maxilofacial por leve aumento de volumen de la región posterior del maxilar superior del

Paciente de sexo masculino de 45 años se acerca al Instituto de Diagnóstico Maxilofacial para evaluación integral por motivos de colocación de implantes. A la

Paciente femenino de 26 años de edad es referido al Instituto de Diagnóstico Maxilofacial (IDM) para su evaluación y diagnóstico. A la evaluación de la

Paciente femenino de 64 años de edad, es referido al Instituto de Diagnóstico Maxilofacial para evaluación tomográfica de implantes dentales. A la evaluación de la

Paciente femenino de 62 años de edad acude al Instituto de Diagnostico Maxilofacial para evaluación general debido a que se le realizará una rehabilitación oral

Paciente femenino de 61 años de edad es referido al Instituto de Diagnóstico Maxilofacial (IDM) para su evaluación y diagnóstico. A la evaluación de la
© Copyright 2025