133 – Displasia fibrosa monostótica

Paciente femenino de 14 años es referido al Instituto de Diagnóstico Maxilofacial por leve aumento de volumen de la región posterior del maxilar superior del lado izquierdo, no presenta sintomatología.

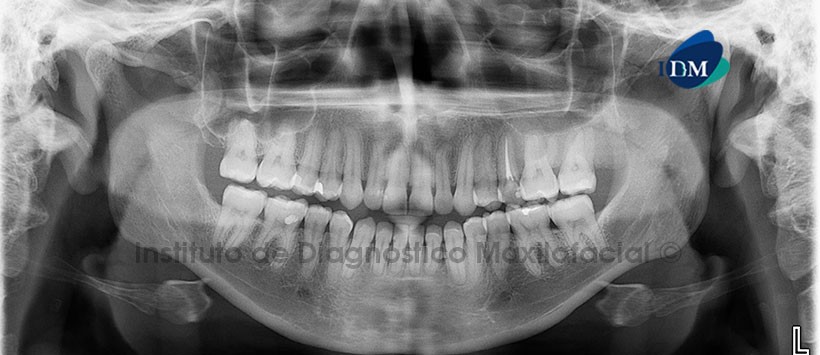
A la evaluación de la radiografía Panorámica (Figura 1) se observa imagen radiopaca en la región del maxilar superior izquierdo que se ex tiende desde la pieza 15 hasta la región de la tuberosidad y en sentido cefálico-caudal del reborde alveolar hasta el piso del seno maxilar; la lesión ocasiona la mimetización de la lámina dura y un aumento en el tamaño de la tuberosidad del maxilar.

En la tomografía computarizada de haz cónico (TCHC); en las reformaciones panorámicas (Figura 2) se aprecia la alteración del patrón óseo en la región posterior del maxilar superior izquierdo en comparación con su contraparte (lado derecho); en los cortes multiplanares (Figura 3), cortes transaxiales (Figura 4 y 5) y cortes tangenciales (Figura 6) se aprecia el aumento de la densidad ósea con apariencia de “vidrio esmerilado”  que ocasiona la mimetización parcial y expansión  de las tablas óseas. No se visualizó alteración en otros huesos del cráneo y de la cara.

En las reconstrucciones 3D, se puede apreciar una “aparente pérdida ósea” de la zona del maxilar superior izquierdo en comparación con el lado derecho.

CONCLUSIÓN

Signos radiográficos compatibles con Displasia Fibrosa Monostótica

Paráfrasis   

La displasia fibrosa es un trastorno poco frecuente de causa desconocida, comprende aproximadamente el 2,5 % de todas las lesiones primarias de hueso y el 7 % de todas las lesiones benignas que ocurren en la adolescencia, con predominio en el sexo femenino y en una cuarta parte de los pacientes se asocia con pubertad precoz y manchas café con leche en la piel. Afecta fundamentalmente a los huesos, pero a veces se acompaña de anormalidades extraesqueléticas, se caracteriza por el hueso normal es reemplazado por una mezcla de tejido fibroso inmaduro y fragmentos pequeños de hueso trabecular inmaduro. Generalmente ocurre en el esqueleto en crecimiento produciéndose deformidades angulares que pueden ser el resultado de la mineralización defectuosa de la porción displásica en el interior de los huesos inmaduros. El hueso afectado se ensancha y la cortical adyacente se adelgaza.

Esta enfermedad se clasifica en tres grupos: el tipo monostótica en el que hay afectación de un solo hueso; la forma poliostótica, en que hay toma de múltiples huesos, y una forma poliostótica que se acompaña de anormalidades endocrinas, como pubertad precoz, maduración esquelética prematura o hipertiroidismo, asociación conocida como síndrome de Mc Cune-Albright. Los sitios más comunes de afectación monostótica incluyen las partes proximales del fémur, tibia, húmero, costillas, cráneo, columna cervical y mandíbula.

La displasia fibrosa monostótica constituye del 75 al 80 % de los casos, de los cuales el 20 % afecta los huesos craneofaciales, sin embargo, pueden comprometer varios huesos contiguos del cráneo sin respetar las suturas. Afecta con mayor frecuencia el fémur, la tibia, costillas y base de cráneo. Estas lesiones generalmente cursan de forma asintomática y son descubiertas por otras razones, en ciertos casos existe dolor, tumefacción y deformidad. La complicación más frecuente asociada son las fracturas. A nivel del cráneo progresan lentamente hasta la vida adulta, periodo en el cual generalmente disminuyen su crecimiento, pueden afectar el nervio óptico, estructuras del oído medio y otros pares craneales.

Referencias:

  1. Mosquera Betancourt Gretel, Corimayta Gutiérrez Jasmany, Tamakloe Kaffui. Displasia fibrosa monostótica: presentación de un caso. AMC  2012; 16(5): 620-627.
    Enlace aquí
  2. García Hernández Alberto, Sánchez Burgos Rocío, Martínez Pérez Fátima, Martínez Gimeno Carlos. Displasia fibrosa monostótica. Rev Esp Cirug Oral y Maxilofac 2016;  38( 4 ): 240-242.
    Enlace aquí
  3. entura N, Guijarro R, Morales J, Solìs I, Puche M, Perez G. Displasia fibrosa craneofacial avanzada: a propósito de un caso. rev esp cir oral maxilofac 2014;36(1):32–37.
    Enlace aquí

Authors: C.D Luis Alberto Cueva, Mg. Esp. Andrés Agurto Huerta

Casos relacionados

Deja una respuesta

Tu dirección de correo electrónico no será publicada. Los campos obligatorios están marcados con *