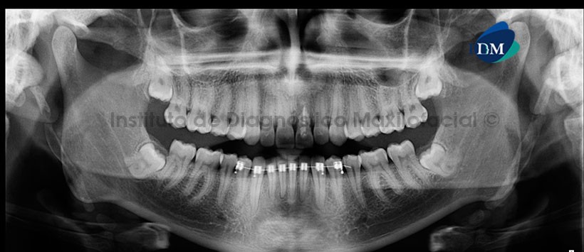
Paciente masculino de 27 años de edad acude al Instituto de Diagnóstico Maxilofacial por evaluación de terceras molares. Motivo por el cual se le realiza un estudio imagenológico.
A la evaluación de la radiografía panorámica se observa que el paciente presenta aparatología fija para ortodoncia en sector dentario anteroinferior, las piezas 18 y 28 están retenidas, las piezas 38 y 48 impactadas en posición mesioanguladas, la pieza 21 presenta disminución de la longitud radicular, así como la presencia de material de obturación. Sin embargo, lo más resaltante es la presencia de formaciones radiopacas que se extienden desde la base del cráneo, en dirección caudal hacia la línea media; proyectadas sobre ambas ramas mandibulares compatible con tejido blando mineralizado. (Figura 1).
En la evaluación tomográfica (Figura 2 y Figura 3) se pudo corroborar la presencia de estas formaciones cálcicas las cuales en los cortes sagitales (Figura 4) evidenciamos que dichas estructuras están mineralizadas de manera segmentada.
En las reconstrucciones 3D se puede notar de manera ilustrativa ambas mineralizaciones, así como su extensión y repercusión en los tejidos adyacentes.
Conclusión: Mineralización de la cadena estilohioidea bilateral.
Paráfrasis:
El síndrome de Eagle (SE) es una alteración patológica de cabeza y cuello, que genera dolor orofacial producto de la elongación de la apófisis estiloides y/o calcificación del ligamento estilohioideo. Al conjunto formado por la apófisis estiloides y el ligamento estilohioideo frecuentemente se le denomina “complejo estilohioideo”, los cuales tienen su origen embrionario en el cartílago del segundo arco faríngeo o arco hioideo (cartílago de Reichert). El SE hace parte de los desórdenes temporomandibulares, que a su vez se enmarcan en desordenes musculoesqueléticos, encerrando un conjunto de alteraciones craneofaciales de etiología multifactorial, referidos a la articulación temporomandibular; músculos masticatorios y cervicales así como a estructuras asociadas (3)
Actualmente se conocen 3 patrones radiográficos:
Tipo I o elongado; que se caracteriza por una integridad ininterrumpida de la imagen estiloides.
Tipo II o pseudoarticulado; en la que la apófisis estiloides está unida al ligamento estilomandibular o al ligamento estilohioideo por una sola pseudoarticulación, la cual se encuentra localizada al borde inferior de la mandíbula (de manera tangencial).
Tipo III o segmentado; que consiste en porciones de la apófisis estiloides que son cortas o largas, observándose discontinuidad o segmentos interrumpidos del ligamento mineralizado.
- Calle E, Palti LR, Agurto A, Salazar C. Prevalencia de la mineralización de la cadena estilohioidea en radiografías panorámicas de pacientes mayores de 18 años. Kiru. 2014; 11(2): 171-4.
Enlace aquí - Verbel J, Gómez V, Castellar C, Díaz A. Aplicación de la tomografía computarizada de haz cónico en el diagnóstico de síndrome de Eagle. Av. Odontoestomatol. 2014; 30(6): 315-23.
Enlace aquí
Autores: CD. Eduardo Calle Velezmoro, Mg. Esp. Andrés Agurto Huerta









