
166 – Quiste apical y engrosamiento mucoso
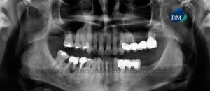
Paciente de sexo femenino de 53 años de edad, acude al Instituto de Diagnóstico Maxilofacial (Sede Miraflores) por dolor a nivel de la pieza 17.

Paciente de sexo femenino de 53 años de edad, acude al Instituto de Diagnóstico Maxilofacial (Sede Miraflores) por dolor a nivel de la pieza 17.

Paciente de sexo femenino de 57 años de edad acude al Instituto de Diagnóstico Maxilofacial para evaluación imagenologica de las articulaciones temporomandibulares debido a la

Paciente de sexo femenino de 57 años de edad acude al Instituto de Diagnóstico Maxilofacial para evaluación imagenologica de las articulaciones temporomandibulares debido a la

Paciente masculino de 22 años de edad, es referido al Instituto de Diagnóstico Maxilofacial – IDM para evaluación tomográfica pieza 2.1 por presentar dolor y

Paciente de sexo femenino de 30 años de edad, acude al Instituto de Diagnóstico Maxilofacial para un estudio imagenólogico de control después de someterse a

Paciente femenino de 68 años de edad, es referido al Instituto de Diagnóstico Maxilofacial – IDM (Sede Miraflores) para examen tomográfico por presentar un aumento

Paciente de sexo femenino de 30 años de edad, acude al Instituto de Diagnóstico Maxilofacial (Sede Miraflores) por sospecha de algún tipo de alteración en

Paciente femenino de 29 años de edad, es referido al Instituto de Diagnóstico Maxilofacial – IDM (Sede Miraflores) para examen tomográfico con motivo de colocación

Paciente de sexo femenino de 87 años de edad acude al Instituto de Diagnostico maxilofacial para evaluación de las molares del cuadrante dos. A la

Paciente de sexo femenino de 87 años de edad acude al Instituto de Diagnostico maxilofacial para evaluación de las molares del cuadrante dos. A la

Paciente femenino de 11 años de edad, es referido al Instituto de Diagnóstico Maxilofacial – IDM (Sede Surco) para evaluación tomográfica de pieza supernumeraria. En

Paciente de sexo masculino de 53 años de edad acude al Instituto de Diagnóstico Maxilofacial por dolor en la pieza 21 motivo por el cual

Paciente de sexo femenino de 50 años d edad acude al Instituto de Diagnóstico Maxilofacial por leve dolor y molestia en la pieza 46. Motivo

Paciente femenino de 51 años de edad, es referido al Instituto de Diagnóstico Maxilofacial – IDM para evaluación general. En la reformación panorámica de la

Paciente de sexo femenino (45 años de edad) acude al Instituto de Diagnóstico Maxilofacial por presencia de dolor localizado en la pieza 12. Motivo por

Paciente femenino de 9 años de edad, es referido al Instituto de Diagnóstico Maxilofacial – IDM (Sede Surco) para evaluación tomográfica por presentar retraso de

Paciente masculino de 70 años acude al Instituto de Diagnóstico Maxilofacial para evaluación imagenológica a nivel maxilofacial debido al aumento de volumen en zona vestibular

Paciente femenino de 24 años de edad, es referido al Instituto de Diagnóstico Maxilofacial – IDM por accidente. En la radiografía panorámica (Figura 1) se

Paciente masculino de 17 años acude al Instituto de Diagnóstico Maxilofacial para evaluación de la pieza 2.1. A la evaluación de la radiografía panorámica se

Paciente masculino, 16 años de edad, es referido al Instituto de Diagnóstico Maxilofacial (IDM) para evaluación tomográfica por retraso en la erupción de segundas premolares
© Copyright 2025