Paciente de sexo femenino de 50 años d edad acude al Instituto de Diagnóstico Maxilofacial por leve dolor y molestia en la pieza 46. Motivo por el cual se decide realizar un estudio imagenologio de evaluación.
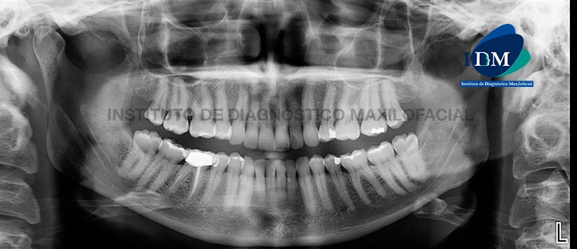
A la evaluación panorámica se evidencian múltiples restauraciones coronarias siendo lo más resaltante el material de obturación de conductos y corona protésica de la pieza 46. Cabe resaltar que en la raíz distal existe material de obturación de conductos de manera parcial. (Figura 1)
En los cortes axiales (Figura 2), transaxiales y tangenciales (Figura 3 y Figura 4) de la tomografía volumétrica de haz cónico se pueden apreciar la presencia de cuatro conductos (dos conductos en la raíz mesial y dos en la distal), los cuales están obturados a excepción del conducto distolingual. Así mismo dicho conducto presenta una obliteración a nivel del tercio inferior en zona apical.
También podemos evidenciar la presencia de un proceso osteolítico de la tabla vestibular a nivel de la raíz mesial de la pieza previamente analizada.
En la reconstrucción 3D podemos evidenciar de manera ilustrativa la presencia y falta de obturación del conducto distolingual, el que a su vez está delimitado de color azul para su fácil y mejor ubicación en las reconstrucciones 3D. (Figura 5, Figura 6 y Figura 7)
Conclusión: Presencia de cuarto conducto
Paráfrasis:
La tomografía computarizada del haz cónico (CBCT) permite exploraciones tridimensionales de la dentición, la región cranofacial y la relación de las estructuras anatómicas.
Las aplicaciones de la CBCT en endodoncia incluyen el diagnóstico de defectos óseos en zona periapical, evaluación de la raíz de manera interna y externa, reabsorciones, detección de fracturas de radiculares verticales, visualización y localización de perforaciones, identificación de conductos radiculares y planificación del tratamiento quirúrgico y complejo casos como los dientes invaginados.
El tamaño del campo visual (FOV) puede variar entre diferentes escáneres CBCT siendo el de este caso un tamaño de campo de 5 x 5 cm. Por lo general, la resolución de FOV grande es menor comparado con el FOV pequeño motivo por el cual el FOV que se uso tuvo una resolución de 75 micras.
Para propósitos de endodoncia, el FOV debe limitarse a la región de interés; es decir, el campo de visión debe abarcar el diente (o los dientes) bajo investigación y sus estructuras adyacentes.
Bibliografía
Dpto. de Investigación IDM









