Paciente femenino de 51 años de edad, es referido al Instituto de Diagnóstico Maxilofacial – IDM para evaluación general.
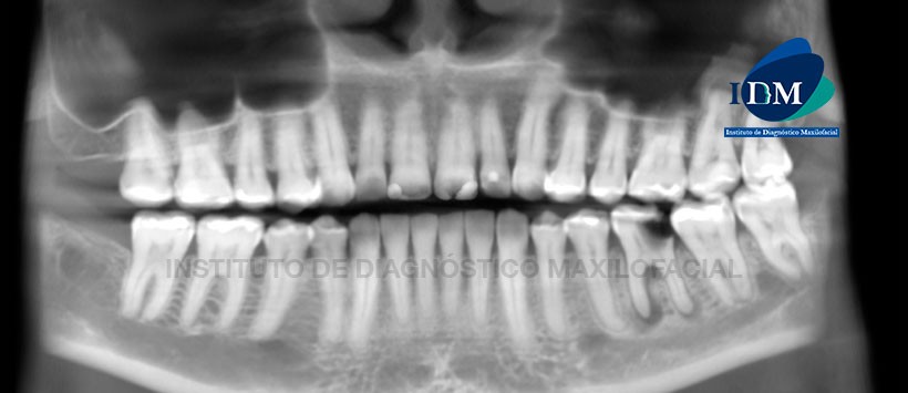
En la reformación panorámica de la tomografía volumétrica (CBCT) (Figura 1), se aprecia proceso osteolítico periapical de raíz mesial y distal de la pieza 3.6 con aumento de la densidad ósea circundante compatible con osteítis condensante; así mismo se aprecia múltiples restauraciones, pieza 2.7 con lesión de caries recidivante con compromiso pulpar y proceso osteolítico periapical adyacente al seno maxilar.
En los cortes axiales (Figura 2), transaxiales (Figura 3) y tangenciales (Figura 4) de la CBCT, se aprecia amplia pérdida de estructura coronaria por lesión de caries con compromiso de cámara pulpar. Se visualiza presencia de dos conductos independientes hasta el foramen apical en raiz mesial y distal. Presencia de proceso osteolítico a nivel apical y periradicular, a predominio de la raíz mesial con compromiso de furca, de límites difusos con aumento de la densidad ósea circundante y presencia de reacción periostal hacia la tabla vestibular.
En las reconstrucciones 3D se representa de manera gráfica el proceso osteolítico con erosión de la tabla vestibular y la reacción periostal (Figura 5 y 6).
Conclusión: Signos tomográficos sugerentes de Osteomielitis esclerosante localizada en zona de pieza 3.6
Paráfrasis
La osteomielitis es un proceso infeccioso con un espectro de manifestaciones clínicas desde una lesión esclerosante pequeña localizada hasta una lesión destructiva supurativa generalizada. Representa las interacciones entre la inmunidad del huésped y la virulencia microbiana, con una defensa inmune completamente competente, el tejido óseo intacto puede restringir los patógenos infecciosos o matarlos.
La capacidad de remodelación del hueso involucrado tiene un papel importante en la formación de hueso reactivo después de proceso inflamatorio. El hueso responde aumentando su densidad y formando capas de tejido conocidas como reacciones reactivas periósticas que pueden mostrar aspectos de capas de cebolla, copos de nieve o incluso las apariencias de rayos de sol.
Es una regla aceptada que las lesiones reactivas traumáticas, infecciosas y benignas son más comunes que las patologías malignas en la cavidad oralñ sin embargo la osteomielitis puede compartir algunas características radiográficas con neoplasias malignas primarias o metastásicas de la mandíbula, por eso es importante tener en consideración la clínica y un foco infeccioso cercano al punto de la lesión.
Referencias:
- Owlia F, Akhavan Karbassi M-H, Mirjalili N, Taghipour Zahir S, Gholami N, Karimi S. A Localized Sclerosing Osteomyelitis at the Periapex of a Vital Tooth: Report of a Misdiagnosis. Journal of Dental Research, Dental Clinics, Dental Prospects. 2011;5(3):102-105.
Enlace aquí - Bocchialini G, Ferrari L, Rossini M, Bozzola A, Burlini D. Chronic nonbacterial osteomyelitis involving the mandible: A case report. International Journal of Surgery Case Reports. 2017;37:149-153. doi:10.1016/j.ijscr.2017.06.018.
Enlace aquí
Autores: C.D Luis Alberto Cueva, Mg. Esp. Andrés Agurto Huerta








