Paciente de sexo femenino de 30 años de edad, acude al Instituto de Diagnóstico Maxilofacial (Sede Miraflores) por sospecha de algún tipo de alteración en zona mandibular de lado derecho. Motivo por el cual se le realizó estudios imageológicos destinada al área de interés.
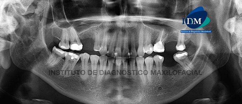
En la radiografía panorámica, se pudo observar la neumatización alveolar de ambos senos maxilares, múltiples restauraciones y ausencias de piezas dentarias así como la presencia de material de obturación en la pieza 26. Sin embargo lo más resaltante es la presencia de una imagen radiolúcida localizada en cuerpo, cóndilo y apófisis coronoides de lado derecho, de forma irregular, con límites definidos y parcialmente corticalizados. (Figura 1)
Posteriormente se amplió con tomografía volumétrica de has cónico (Figura 2, Figura 3 y Figura 4), donde supo observar que dicha lesión esta desplazando ambas tablas óseas del cuerpo mandibular, ocasiona una erosión parcial del polo externo del cóndilo mandibular derecho, altera la morfología de la apófisis coronoides y ocasiona un leve compromiso del conducto dentario inferior. Así mismo se pudo determinar el volumen de dicha entidad, la cual fue de 2.089 cm3.
Finalmente, el Software Romexis nos brinda una gama de herramientas para obtener reconstrucciones 3D, adquiriendo una imagen volumétrica e ilustrativa de la lesión, así como su repercusión de esta en relación a las estructuras óseas adyacentes. (Figura 5, Figura 6 y Figura 7)
Conclusión: Lesión Benigna de origen odontogénica.
Paráfrasis:
El presente caso se expone una lesión la cual por sus mismas características imagenológicas, hace sospechar de una lesión benigna de origen odontogénica. Así mismo como parte de los dos diagnósticos diferencias principales, se optó por:
- Queratoquiste odontogénico
- Ameloblastoma
Sin embargo en el 2017 la OMS invitó a los participantes en el Consenso y el Panel de Redacción al Profesor Takashi Takata, Japón, Presidente; El Prof. Daniel Baumhoer, Suiza; Prof. Samir El-Mofty, EE. UU .; Prof. Edward Odell, Reino Unido; Prof. Paul Speight, Reino Unido; Prof John Wright, EE. UU. y al Profesor Rosnah Zain, Malasia. El panel fue guiado por los principios de simplicidad, relevancia clínica, validez científica y utilidad para patólogos no especialistas. Se consideraron e incorporaron numerosos cambios para proporcionar una clasificación de consenso contemporánea que debería proporcionar a la comunidad mundial de patólogos de cabeza y cuello un marco de trabajo para el diagnóstico de quistes odontogénicos, tumores y otros tumores óseos aliados en este momento. Cabe resaltar que para determinar la naturaleza de la lesión (benigna o maligna) se basaron en las características biológicas de estas, motivo por el cual el Queratoquiste odontogénico está considerado dentro de la clasificación de quistes mientras que el Ameloblastoma dentro de la clasificación de tumores. Siendo así que el grupo que engloba a estas dos lesiones como diagnóstico, seria lesión benigna de origen odontogénica.
Dpto. de Investigación IDM









