Paciente masculino de 22 años de edad, es referido al Instituto de Diagnóstico Maxilofacial – IDM para evaluación tomográfica pieza 2.1 por presentar dolor y movilidad.
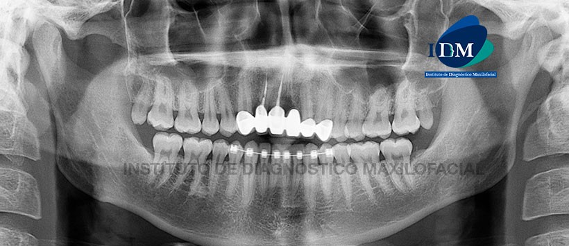
En la radiografía panorámica (Figura 1), se aprecia piezas 1.2 y 1.1 coronas protésicas espigos y obturación de conducto. Pieza 1.1 aparente proceso de reabsorción radicular cervical.
A la evaluación de la tomografía volumétrica (CBCT) en los cortes axiales (Figura 2) y transaxiales (Figura 3), se aprecia: Pieza 1.3, corona metal-cerámica con compromiso pulpar y proceso osteolítico apical con aparente proceso de reabsorción radicular externa en zona apical. Pieza 1.2, corona metal-cerámica, material de obturación de conducto sobeextendido y proceso de reabsorción radicular interna. Pieza 1.1, reabsorción radicular severa total donde solo se observa material de obturación de conducto y un proceso osteolítico que condiciona presencia de defecto óseo a predominio de la tabla ósea vestibular.
En las reconstrucciones 3D se representa la reabsorción radicular severa completa de la pieza 1.1 (Figura 4 y 5).
Conclusión: Reabsorción radicular severa completa de pieza 1.1 con exposición de espigo y material de obturación de conducto. Reabsorción radicular interna de pieza 1.2
Paráfrasis
La reabsorción es la combinación de factores fisiológicos o patológicos que conducen a la pérdida de esmalte, dentina, cemento o hueso alveolar por la acción de células gigantes polinucleares. Estas células, dependiendo de los tejidos que se reabsorben, se llaman osteoclastos, cementoclastos o dentinoclastos. La resorción es un proceso fisiológico solo en los dientes de leche en el período anterior al reemplazo de los dientes permanentes; Sin embargo, el proceso patológico ocurre tanto en la dentición decidua como en la permanente.
El presente caso, muestra una reabsorción radicular completa, que por la presencia del espigo y material endodóntico se presume un origen externo. Reabsorción externa: La causa inmediata de la resorción patológica externa del cemento es el daño de los cementoblastos y cementoide por estímulo patogénico. En la literatura no existe una división uniforme de la reabsorción externa.
Referencias:
- Goodell KB, Mines P, Kersten DD. Impact of Cone-beam Computed Tomography on Treatment Planning for External Cervical Resorption and a Novel Axial Slice-based Classification System.
Enlace aquí - Ghafoor R, Tabassum S, Hameed MH. Management of extensive external apical root resorption leading to root perforation. BMJ Case Rep. 2017 Oct 4;2017. pii: bcr-2017-220234.
Enlace aquí
Dpto. de Investigación IDM







