Paciente femenino de 9 años de edad, es referido al Instituto de Diagnóstico Maxilofacial – IDM (Sede Surco) para evaluación tomográfica por presentar retraso de erupción de la pieza 2.1.
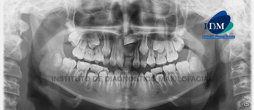
En la radiografía panorámica (Figura 1) se aprecia a la pieza 2.1 retenida en aparente posición mesioangular y con la corona proyectado a nivel de la espina nasal anterior; se visualiza una imagen radiolúcida pericoronal de límites definidos y bordes corticalizados asociado a la presencia de una pieza supernumeraria localizado en reborde alveolar y a la persistencia de la pieza 6.1.
A la evaluación de la tomografía volumétrica (CBCT) en cortes axiales (Figura 2), transaxiales (Figura 3) y tangenciales (Figura 4), se aprecia a la pieza 2.1 retenida en posición transversal con la corona orientada hacia la tabla ósea vestibular próximo a la espina nasal anterior y al conducto nasopalatino, el segmento radicular se localiza a nivel óseo del paladar duro. Se visualiza una imagen isodensa a nivel pericoronal de limites definidos, bordes corticalizados, que ocasiona el desplazamiento y adelgazamiento de la tabla ósea vestibular y del piso de fosa nasal; la lesión se encuentra asociado al gérmen dentario de una pieza supernumerario localizado proximo al segmento radicular de la pieza 6.1.
En las reconstrucciones 3D se observa la retención de la pieza 2.1, la presencia del diente supernumerarios, la persistencia de la pieza 6.1 y la representación en color de la lesión (Figura 5 y 6).
Conclusión: Quiste dentígero de pieza 2.1 asociado a pieza supernumerario.
Paráfrasis
El quiste dentígero (o folicular) es el segundo tipo de quiste dental más común. Benn y Altini proponen la existencia de dos tipos de quistes dentígeros: uno de naturaleza del desarrollo y el otro inflamatorio. Desde un punto de vista clínico, los quistes son generalmente asintomáticos, de crecimiento lento, asociados con la corona de un diente permanente impactado o no erupcionado, y caracterizados por una erupción retardada del diente. Sin embargo, pueden crecer lo suficiente como para causar la destrucción del hueso cortical, lo que resulta en fluctuaciones, dolor espontáneo, exudación y rápido desarrollo de la patología.
Alrededor del 5% de todos los quistes dentígeros son atribuidos por los quistes dentígenos con dientes supernumerarios. Suelen aparecer en la región anterior del maxilar en asociación con mesiodens. La aparición de quiste dentígero con dientes supernumerarios fue descrita por primera vez por Pitts en 1924.
Las radiografías panorámicas y periapicales son los exámenes de imagen más utilizados en odontología para el diagnóstico y la planificación quirúrgica. Sin embargo, la información adquirida en estos exámenes es limitada, ya que la anatomía tridimensional del área de rayos X se muestra en dos dimensiones, con planos superpuestos. Aunque estos métodos producen imágenes aceptables en la dirección mesiodistal, la observación en la dirección vestibulolingual es difícil. Una técnica de imagen muy eficiente para el diagnóstico es la tomografía computarizada de haz cónico Cone Beam (CBCT), que ofrece la tercera dimensión y la evaluación exacta del tamaño y compromiso de las estructuras adyacentes así como también la orientación exacta de las piezas retenidas.
Referencias:
- Deana NF, Alves N. Cone Beam CT in Diagnosis and Surgical Planning of Dentigerous Cyst. Case Reports in Dentistry. 2017;2017:7956041
Enlace aquí - Hasan S, Ahmed SA, Reddy LB. Dentigerous cyst in association with impacted inverted mesiodens: Report of a rare case with a brief review of literature. International Journal of Applied and Basic Medical Research. 2014;4(1):61-64.
Enlace aquí
Autores: C.D Luis Alberto Cueva, Mg. Esp. Andrés Agurto Huerta








