Paciente femenino de 68 años de edad, es referido al Instituto de Diagnóstico Maxilofacial – IDM (Sede Miraflores) para examen tomográfico por presentar un aumento de volumen en el fondo de surco vestibular a nivel de la pieza 2.5.
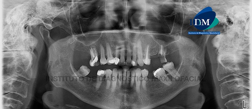
A la evaluación de la radiografía panorámica (Figura 1) se aprecia una imagen radiolúcida proyectada a nivel del piso del seno maxilar izquierdo y a nivel periapical de pieza 2.5, la misma que presenta tratamiento de conducto. La lesión presenta límites definidos y bordes parcialmente corticalizados, además se aprecia facetamiento de los contornos condilares, múltiples restauraciones y piezas con tratamientos de conductos.
A la evaluación de la tomografía volumétrica (CBCT) en cortes axiales (Figura 2), transaxiales (Figura 3) y tangenciales (Figura 4), se evidencia el proceso osteolítico de límites definidos y bordes parcialmente corticalizados de aproximadamente 1.763 cm3 (Ver figura 5) de volumen que se extiende en sentido caudal-cefálico del tercio apical de piezas 2.3, 2.5 hasta el seno maxilar y en sentido mesio-distal de pieza 2.3 a región del reborde alveolar correspondiente a la pieza 2.6. La lesión ocasiona el desplazamiento del piso y pared anterior del seno maxilar adyacente así como el desplazamiento y erosión de la tabla ósea vestibular.
Además se puede apreciar que la pieza 2.5 se encuentra mesializada ocupando el espacio de la pieza 2.4, el cual se encuentra ausente, presenta restauracion coronaria y material de obturación de conducto. Se visualiza un trazo de fractura en sentido vertical que se extiénde de la fosa coronaria y de la cuspide vestibular hasta el tercio medio radicular por vestibular (Ver figura 3)
En las reconstrucciones 3D (Figura 6) se muestran de manera gráfica y coloreada de azul la lesión y su relación con las estructuras adyacentes.
Conclusión: Signos tomográficos sugerentes de Quiste periapical asociada a diente con tratamiento endodóntico y con fractura corono-radicular.
Paráfrasis
Los quistes odontogénicos y no odontogénicos de los maxilares pueden mostrar un curso biológicamente agresivo y a veces, difíciles de diagnosticar. Los quistes radiculares son quistes inflamatorios que se desarrollan a partir de los depósitos epiteliales en el espacio periodontal o después de la necrosis pulpar. La lesión no es clínicamente detectable cuando es pequeña, pero la mayoría de las veces se descubre como un hallazgo incidental en el examen radiográfico. Su incidencia es más alta en la tercera y cuarta década de vida con predilección en el sexo masculino. Anatómicamente, los quistes periapicales pueden ocurrir en todas las posiciones de los dientes de los maxilares llegando a ser periapicales o laterales, sin embargo, se repiten más en la región maxilar que en la mandibula.
Estudios epidemiológicos previos han demostrado que los dientes con radiolucencia apical son comunes. Por ejemplo, después del examen de 8.743 dientes en una subpoblación francesa, Boucher et al. informaron que el 22,7% fueron tratados endodónticamente y entre los dientes tratados el 24,4% tenían radiolucencia periapica
Referencias:
- Borkar SA, Dhupar V, Gadkar AM, Nivedita CKVS. Management of large radicular cyst associated with amalgam particles in cystic lining. Journal of Conservative Dentistry : JCD. 2016;19(3):280-284.
Enlace aquí - uh J-K, Yang D-K, Jeon K-J, Shin S-J. Progression of periapical cystic lesion after incomplete endodontic treatment. Restorative Dentistry & Endodontics. 2016;41(2):137-142.
Enlace aquí - Bava FA, Umar D, Bahseer B, Baroudi K. Bilateral Radicular Cyst in Mandible: An Unusual Case Report. Journal of International Oral Health : JIOH. 2015;7(2):61-63.
Enlace aquí
Dpto. de Investigación IDM








