Paciente femenino de 24 años de edad, es referido al Instituto de Diagnóstico Maxilofacial – IDM por accidente.
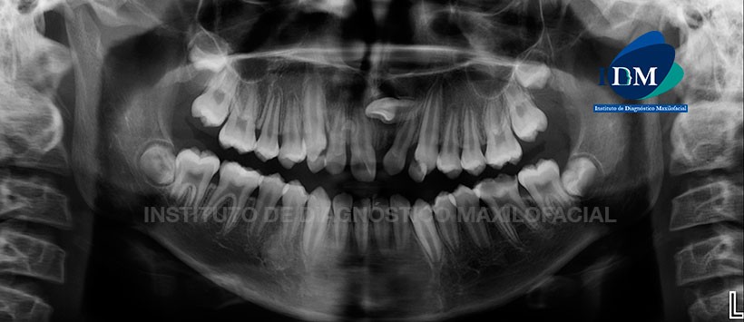
En la radiografía panorámica (Figura 1) se observa presencia de lechos alveolares correspondientes a las piezas 3.2, 3.1 y 4.1 (avulsión dentaria), presencia de alambre de fijación en piezas anterosuperiores con probable fractura coronaria complicada de la pieza 1.1, se evidencia aparente trazo de fractura radicular en el tercio medio radicular de la pieza 2.1.
A la evaluación de la tomografía volumétrica (CBCT) en cortes axiales (Figura 2, 3) y transaxiales (Figura 4, 5), se evidencia a la pieza 1.1 fuera del lecho alveolar (luxación extrusiva), presenta material hiperdenso en borde incisal compatible con restauración. La pieza 2.1, presenta fractura radicular complicada que se extiende del tercio medio radicular por palatino hasta el tercio apical por vestibular. Pieza 2.2, presenta luxación lateral con fractura de la tabla ósea vestibular a nivel apical. Se aprecia también los lechos alveolares de las piezas 3.2, 3.1 y 4.1, que presentan restos de la tabla ósea vestibular a nivel de la pieza 3.2 y 3.1 en la zona apical.
En las reconstrucciones 3D se observan las luxaciones de las piezas 1.1 y 2.2 y la fractura radicular de la pieza 2.2, también se evidencian las fracturas de las tablas óseos (Figura 6, 7 y 8).
Conclusión: Traumatismo alveolo dentario a nivel de piezas anteriores.
Paráfrasis
Alrededor del 18-30% de todas las patologías orales son lesiones traumáticas que afectan la cavidad oral y el aparato dental; un número considerable de estos son el resultado de lesiones deportivas y alrededor del 25% de ellos involucran a adolescentes y adultos jóvenes (15-23 años).
Las lesiones dentales traumáticas son un importante problema de salud pública debido a su frecuencia, su aparición a una edad temprana y los procedimientos de seguimiento de tratamientos de alto costo, razón por la cual se continúa adelante en la vida del paciente. La mayoría de las lesiones dentales involucran a los dientes anteriores, lo que puede llevar a la restricción en la mordida, dificultad para hablar con claridad y vergüenza al mostrar los dientes. La clasificación que se puede utilizar es la siguiente:
Lesiones en los tejidos duros dentales y la pulpa:
- Infracción
- Fractura del esmalte
- Fractura esmalte-dentina
- Fractura esmalte-dentina-pulpa
- Fractura de la raíz de la corona (sin complicaciones)
- Fractura de la raíz de la corona (complicada)
- Fractura de raíz
- Fractura alveolar
Lesiones del tejido periodontal:
- Concusión
- Subluxación
- Intrusión (luxación central)
- Extrusión (luxación periférica)
- Luxación lateral
- Luxación total (exarticulación)
Referencias:
- Spinas E, Mameli A, Gianneti L. Traumatic Dental Injuries Resulting from Sports Activities; Immediate Treatment and Five Years Follow-Up: An Observational Study. Open Dent J. 2018; 12: 1–10.
Enlace aquí - Tumen EC, Yavuz I, Kaya S, Uysal E, Tümen DS, Ay Y, et al. Prevalence of traumatic dental injuries and associated factors among 8 to 12-years-old schoolchildren in Diyarbakir, Turkey. Niger J Clin Pract. 2017 Oct;20(10):1259-1266.
Enlace aquí
Autores: C.D Luis Alberto Cueva, Mg. Esp. Andrés Agurto Huerta



