121 – Conducto medio mesial obturado

Paciente masculino, 49 años de edad, es referido al Instituto de Diagnóstico Maxilofacial – IDM (Sede Miraflores) para evaluación tomográfica por presentar molestia a nivel de la pieza 47.

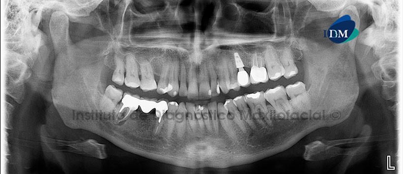
En la radiografía panorámica (Figura 1) se observa múltiples restauraciones e implante con prótesis sobre implante en pieza 25. Obturación de conductos en piezas 26, 45 y 47, observándose un proceso osteolítico periapical e inter-radicular en pieza 47.

A la evaluación de la tomografía volumétrica (CBCT) localizada para la pieza 47 en cortes multiplanares (Figura 2), axiales (Figura 3), transaxiales (Figura 4) y tangenciales (Figura 5),  se aprecia material obturador en los conductos mesio-vestibulares, medio mesial y distal. Se aprecia el conducto mesio-lingual sin obturación y que confluye con el conducto mesio-vestibular en el tercio apical. Se aprecia además multiples lineas hipodensas localizada en el tercio medio y apical radicular compatibles con conductos accesorios laterales y secundarios, respectivamente. Se observa además proceso osteolítico periapical, para e inter-radicular con incremento de la densidad ósea circundante.

En las reconstrucciones 3D se observan las variantes anatómicas del sistema de conductos radiculares en especial el conducto medio mesial obturado y el conducto mesio-lingual sin material obturador (Figura 6 y 7).

Conclusión:  Presencia de Conducto medio-mesial (Variante anatómica) en pieza 47 con proceso osteolítico peri e inter-radicular.

Paráfrasis   

La compleja anatomía del sistema de conductos radiculares ha sido ampliamente estudiada, en esta ocasión nos enfocaremos el CONDUCTO MEDIO MESIAL.  Las raíces mesiales en los molares mandibulares ha sido ampliamente investigada, ésta raíz presenta comúnmente  2 conductos radiculares separados (el mesiovestibular y el mesiolingual) independientes o a veces conectados por un istmo. Varios estudios han reportado la presencia de un canal mesial adicional entre los dos conductos mencionados, denominado conducto mesial accesorio, mesiocentral o medio mesial.

Estudios anteriores investigaron la prevalencia de esta variación encontrando una frecuencia que variaba entre 0,26% – 46,2%, estudios como los del Doctor Fabra Campos demuestran el 65% de los casos este canal medio mesial termina confluyendo con un foramen común con cualquiera de los otros dos conductos mesiales; lo que hace más insólito el caso de tener un forámen para este conducto. El rango variado se puede atribuir a las diferentes etnias y edades de los pacientes.

Pomeranz et al. clasificaron al conducto medio mesial en 3 posibles configuraciones: en aleta, confluente a otro de los conductos o independiente. A pesar de los informes de una alta prevalencia de las comunicaciones intercanales en los molares mandibulares, alcanzando el 83%, el éxito en la localización y el acceso a un canal medio mesial  ha sido muy baja, oscilando entre 1% y 25%. El fracaso para localizar, limpiar y dar forma a estos conductos puede resultar en infecciones persistentes a nivel apical.

La detectabilidad de la presencia del conducto medio mesial y su configuración presenta un desafío para los clínicos y los exámenes radiográficos adquieren amplia relevancia, en especial la utilización de la tomografía volumétrica, permite identificarlos y determinar su configuración.

Referencias:

  1. Versiani M.A., Ordinola-Zapata R., Keleş A., et al: Middle mesial canals in mandibular first molars: a micro-CT study in different populations. Arch Oral Biol 2016; 61: pp. 130-137
    Enlace aquí
  2. Nosrat A, et al. Middle Mesial Canals in Mandibular Molars: Incidence and Related Factors. J Endod 2015;41:28-32.
    Enlace aquí
  3. Teixeira FB, Sano CL, Gomes BP, Zaia AA, Ferraz CC, Souza-Filho FJ. A preliminary in vitro study of the incidence and position of the root canal isthmus in maxillary and mandibular first molars. Int Endod J 2003;36:276–80.
    Enlace aquí

 Autores: CD.  Luis Alberto Cueva Príncipe, Mg. Esp. Andrés Agurto Huerta

Casos relacionados

Deja una respuesta

Tu dirección de correo electrónico no será publicada. Los campos obligatorios están marcados con *