Paciente de sexo femenino de 32 años de edad acude al Instituto de Diagnóstico Maxilofacial para evaluación general de ambos maxilares.
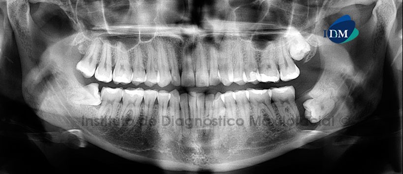
A la evaluación panorámica se aprecia neumatización alveolar de ambos senos maxilares, apiñamiento dentario del sector anterior, múltiples restauraciones, pieza 28 retenida en posición vertical y la pieza 48 impactada en posición horizontal en relación a la cara distal de la pieza 47. Sin embargo lo más resaltante es una imagen radiolucida ubicada en cuerpo mandibular izquierdo (localizada en distal de la pieza 37) de forma redondeada y limites definidos la cual está asociada a la pieza 38 (Figura 1).
A la evaluación mediante la tomografía volumétrica de haz cónico se determinó mediante la reconstrucción multiplanar que esta lesión tiene un volumen de 1.2 cm3 (Figura 2) así mismo en los cortes transaxiales y tangenciales se aprecia un desplazamiento de la tabla ósea lingual, borramiento parcial de la lámina dura de la raíz distal de la pieza 37 y de la cortical superior del conducto dentario inferior a nivel coronario de la pieza 38 (Figura 3 y Figura 4). También cabe mencionar que esta entidad se origina en la unión cementoadamantina de la pieza a la cual está asociada, siendo este dato de suma importancia ya que nos permite tener un diagnóstico más preciso.
En las reconstrucciones tridimensionales se puede apreciar esta lesión y su repercusión en los tejidos óseos y dentarios adyacentes, obteniendo un punto de vista vestibular así como lingual (Figura 5 y Figura 6).
Conclusión. Quiste dentígero
Paráfrasis:
La palabra “quiste” procede del griego Kistis (vejiga), se utiliza para definir una cavidad tapizada por un epitelio ,que desde un punto de vista histológico ,puede ser plano, estratificado, queratinizado, no queratinizado, peudoestratificado o cilíndrico, en función del tipo de quiste. La pared tendrá vascularización propia, un tejido conjuntivo y un contenido de consistencia líquida o semisólida. Las entidades que no reúnan estas características no serán considerados “quistes verdaderos” se denominarán “pseudoquistes” o “falsos quistes”
Esta lesion no tiene predilección por el sexo para algunos autores, mientras que otros apuntan una mayor incidencia en el sexo femenino. La edad de diagnóstico se establece entre la 2º y 4º década de la vida, siendo la mandíbula la localización más habitual. El quiste folicular es el quiste odontogénico más frecuente después del radicular. Se denomina dentígero porque alberga dientes, suele rodear la parte coronal del diente incluido. Se da en terceros molares inferiores, caninos superiores, segundos premolares mandibulares y supernumerarios. Hay tres teorías sobre la etiopatogenia: Una plantea que se origina después de la formación completa de la corona anatómica. Se produce un acumulo de líquido entre esta y el órgano del esmalte. Otra se inclina por la proliferación quística de los islotes en la pared de tejido conectivo del folículo dental o fuera del mismo, para unirse posteriormente y formar una cavidad quística alrededor de la corona del diente, mientras que una tercera, plantea que es por la degeneración del retículo estrellado durante la odontogénesis.
Referencia
- Loughney A, Fernandes M. Diagnóstico y actitud terapéutica del quiste dentígero. Reporte de dos casos. Cient. dent. 2011;8(3): 195-200
Enlace aquí - BS Mahesh, Shilpa P Shastry, Padmashree S Murthy, TR Jyotsna. Role of Cone Beam Computed Tomography in Evaluation of Radicular Cyst mimicking Dentigerous Cyst in a 7-year-old Child: A Case Report and Literature Review. International Journal of Clinical Pediatric Dentistry, April-June 2017;10(2):213-216
Enlace aquí
Autores: C.D. Eduardo Calle Velezmoro, Mg. Esp. Andrés Agurto Huerta







