120 – Lesión tumoral – Quística benigna

Paciente de 51 años de edad acude al Instituto de Diagnóstico Maxilofacial (IDM) para su evaluación general.

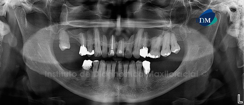
A la evaluación de la radiografía panorámica  se aprecia perdida de piezas dentarías en ambos maxilares y reabsorción ósea moderada del maxilar inferior, múltiples restauraciones, material de obturación de conducto en las piezas 15, 11, 21 (sobrextendida), 24 y 35 así como la presencia de espigo metálico en piezas 25, 24 y 34 además de coronas protésicas en la pieza 45 y las piezas mencionadas previamente.

Siendo lo más resaltante la presencia de una imagen radiolucida, localizada en la zona nasomaxilar que se extiende desde mesial de la pieza 18 hasta mesial de la pieza 27, de limites parcialmente definidos y parcialmente corticalizados, así mismo se evidencia un borramiento del hueso medular, laminas duras, piso de seno maxilar y fosa nasal así como reabsorciones leves a nivel periapical de las piezas 21 y 22.(Figura 1)

A la evaluación tomográfica se pudo observar  que dicha lesión es de densidad isodenza y corticalizada en toda su extensión evidenciando su verdadero tamaño (38.6 cm3). Así mismo esta entidad ocasiona un desplazamiento y expansión de ambas tablas óseas (a predominio de la tabla ósea palatina) comprometiendo estructuras como el paladar duro, piso y paredes de ambos senos maxilares, piso de fosas nasales, y desplazamiento hacia cefálico de los cornetes inferiores. (Figura 2, Figura 3 y Figura 4)

En los cortes transaxiales, podemos apreciar  que esta lesión compromete las piezas 18, 15, 14, 13, 12, 11, 21, 22, 23, 24, 26 y 27 respectivamente, ocasionando borramieto de todas laminas duras, espacio para el ligamento periodontal y reabsorciones leves en las piezas 15, 12, 11 y 21. También cabe mencionar que en zona  vestibular de las piezas 26, 24, 21, 14 y 15 existe erosión de la tabla ósea externa. (Figura 5 y Figura 6)

Finalmente en las reconstrucciones 3D se aprecia de manera ilustrativa las estructuras previamente descritas así como el tamaño, extensión de a lesión  y la ubicaron tridimensional en tejidos blandos maxilofaciales. (Figura 7, Figura 8 y Figura 9).

Conclusión: Lesión tumoral benigna

Paráfrasis:

En base a las características imagenológias previamente descritas, llegamos a la conclusión de un POSIBLE tumor odontogenicos queratoquistico el cual según la clasificaron del 2005 vendría a considerarse un tumor de origen odontogenico intraoseo que tiene una naturaleza agresiva la cual se caracteriza por la sobreexpresion de algunos agentes como PCNA, p53, gp38 y ki67 por parte de sus células.

La clínica que acompaña a estas lesiones simula síntomas inflamatorios y puede confundirse durante parte de la evolución con los proceso benignos infecciosos e inflamatorios. Predomina el dolor y la inflamación local sobre el resto de síntomas siendo menos frecuente las reabsorciones y movilidad de piezas dentarías adyacentes.

Sin embargo actualmente esta lesión es se trasladó a la categoría de quiste como “Queratoquiste odontogenico”  debido a su «crecimiento agresivo», recurrencia después del tratamiento, la rara ocurrencia de una variante «sólida» y lo que es más importante, mutaciones en el gen PTCH.

  1. Wright J, Verde M, Update from the 4th Edition of the World Health Organization Classi cation of Head and Maxillofacial Bone Tumors. Head and Neck Pathol (2017) 11:68–77
    Enlace aquí
  2. Arenas G, Navao C, Ochandiamo S, Lopez A, et al.Manejo terapéutico del quertoquiste: revision y presentación e un caso clinico. Asociation mexicana de cirugía bucal y maxillofacial  2014;10 (3): 101 – 107
    Enlace aquí

Autores: CD Eduardo Calle, Mg. Esp. Andrés Agurto Huerta

Casos relacionados

Deja una respuesta

Tu dirección de correo electrónico no será publicada. Los campos obligatorios están marcados con *