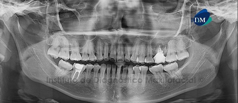
Paciente femenina de 20 años de edad que es referida al Instituto de Diagnóstico Maxilofacial, por manifestar dolor a nivel de la pieza 26. En la radiografía panorámica se observa el aplanamiento del contorno de los cóndilos mandibulares, la neumatización alveolar de los senos maxilares, ausencias de las terceras molares inferiores, múltiples restauraciones coronarias y lesiones de caries en las piezas 25 y 37. Así mismo, se evidencia la opacificación del seno maxilar del lado izquierdo en aparente asociación con el proceso osteolítico a nivel de la pieza 26 (Fig. 1).
La tomografía computarizada de haz cónico mediante la reconstrucción multiplanar (MPR) nos muestra el ocupamiento del seno maxilar izquierdo (Fig. 2). Los cortes transaxiales ilustran claramente una comunicación bucosinusal a consecuencia de la ausencia de la raíz palatina de la pieza 26; así como una lesión perirradicular que condiciona una discontinuidad a nivel de la pared basal del seno maxilar y de la tabla ósea palatina. (Fig. 3). Signos imagenológicos compatibles con Sinusitis Maxilar de origen odontogénico.
El software Romexis nos brinda diferentes opciones de reconstrucción 3D, como por ejemplo la opción tejido blando; que es de mucha ayuda para la evaluación de esta entidad (Fig. 4).
Paráfrasis
La sinusitis de origen dental es una entidad relativamente frecuente. Las infecciones dentales de cualquier etiología, la filtración apical en tratamientos endodónticos, la migración iatrógena de un diente o de su raíz durante una extracción, la migración de implantes al seno maxilar, la infección en procedimientos de elevación sinusal, la presencia de un diente ectópico o un quiste dentario en relación al seno maxilar y los tumores odontogénicos pueden causar sinusitis.
La presencia de distintos objetos y sustancias desplazadas al seno maxilar, como factores irritantes desencadenantes de sinusitis maxilar, está ampliamente registrada: desde amalgama, gutapercha, remanentes de tubos de plástico de drenajes previos e incluso agujas de sutura. Debido a que estos cuerpos extraños pueden desplazarse por el interior del seno maxilar y fijarse a su pared posterior, con el consiguiente riesgo de extensión intracraneal del proceso infeccioso, y con la dificultad añadida en su extracción del alto riesgo de hemorragia de esta área; el tratamiento de elección en todos los casos suele ser la extracción inmediata mediante un abordaje siguiendo la técnica de Caldwell-Luc, y el legrado de toda la mucosa adyacente enferma.
Los estudios radiológicos simples son poco sensibles y de limitada utilidad para el diagnóstico de rinosinusitis, debido a un gran número de resultados, tanto falso positivo como negativo. La tomografía computada es el estudio de imagen de elección para confirmar la anatomía, así como la extensión del proceso infeccioso.
Referencias
- Bragado Novel M, Berini Aytés L, Gay Escoda C. Sinusitis maxilar iatrogénica tras la colocación de implantes: A propósito de un caso. Av Periodon Implantol. 2010; 22, 3: 135-145
Enlace aquí - Waizel HS y cols. Sinusitis odontógena complicada. An Med (Mex) 2009; 54 (1): 40-46
Enlace aquí - Lizama Fernández, C., Lizama Velasco, J. Sinusitis maxilar de causa odontógena. Revisión de la literatura. A propósito de un caso. Cient. Dent. 2014; 11; 2: 151-156
Enlace aquí
Autor: CD. Esp. Raúl Herrera Mujica, Mg. CD Esp. Andrés Agurto Huerta






