
Caso 335 – IDM – TORUS LINGUAL – IDM
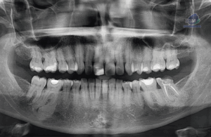
Paciente masculino de 67 años de edad, es referido al Instituto de Diagnóstico Maxilofacial – IDM para control tomográfico.En la radiografía panorámica (Figura 1), se

Paciente masculino de 67 años de edad, es referido al Instituto de Diagnóstico Maxilofacial – IDM para control tomográfico.En la radiografía panorámica (Figura 1), se
Paciente femenina de 61 años de edad acude al Instituto de Diagnóstico Maxilofacial – IDM (surco) para evaluación imagenológica por motivos protésicos.En la radiografía panorámica

Paciente masculino de 09 años de edad acude al Instituto de Diagnóstico Maxilofacial para una tomografía de campo mediano (10 x 10mm) con el motivo

Paciente femenina de 20 años acude al centro para una evaluación imagenológica de ATM, a la evaluación de la radiografía panorámica se observa el aplanamiento

Paciente masculino de 70 años acude con motivo de consulta “evaluación general de la cavidad oral”, se procede a la observación y evaluación de la

Paciente masculino de 49 años de edad acude al Instituto de Diagnóstico Maxilofacial – IDM (surco) para evaluación imagenológica por motivo de una tumoración en

Paciente masculino de 22 años de edad, es referido al Instituto de Diagnóstico Maxilofacial – IDM para control tomográfico.En la radiografía panorámica (Figura 1), se

Paciente masculino de 23 años de edad, es referido al Instituto de Diagnóstico Maxilofacial – IDM para control tomográfico.En la radiografía panorámica (Figura 1), se

Paciente femenina de 46 años, es referido al Instituto de Diagnóstico Maxilofacial – IDM (Sede Surco) para evaluación general. Radiografia Panorámica En la radiografía panorámica

Paciente femenina de 36 años, es referido al Instituto de Diagnóstico Maxilofacial – IDM (Sede Surco) para evaluación de pieza 46 con tratamiento endodóntico. Radiografia

Paciente masculino de 17 años, es referido al Instituto de Diagnóstico Maxilofacial – IDM (Sede Surco) para evaluación del retraso de erupción de la pieza

Paciente femenina de 78 años, es referido al Instituto de Diagnóstico Maxilofacial – IDM (Sede Surco) para evaluación de áreas óseas y planificación de implantes

Paciente feminino acude a IDM para una tomografía computarizada para un diagnostico general. Radiografia Panorámica A la evaluación de la radiografía panorámica se observa neumatización

Paciente masculino de edad acude a IDM para realizarse un estudio imagenológico para un diagnóstico en general. A la evaluación de la radiografía panorámica se

Paciente masculino de 13 años de edad, es referido al Instituto de Diagnóstico Maxilofacial – IDM para evaluación general. En la radiografía panorámica (Figura 1),

Paciente masculino de 15 años de edad, es referido al Instituto de Diagnóstico Maxilofacial – IDM para evaluación general. En la radiografía panorámica (Figura 1),

Paciente femenina de 77 años de edad acude al Instituto de Diagnóstico Maxilofacial – IDM (surco) para evaluación imagenológica. En la radiografía panorámica (Figura 1),

Paciente femenina de 40 años acude a IDM – Sede Jesús María para realizarse una tomografía computarizada de haz cónico de campo reducido y descartar

PACIENTE FEMENINO de 81 años acude al Instituto de Diagnóstico Maxilofacial PARA UNA TOMOGRAFÍA para colocación de implantes. A la evaluación de la radiografía panorámica

Paciente masculino de 08 años de edad, es referido al Instituto de Diagnóstico Maxilofacial – IDM para evaluación general. En la radiografía panorámica (Figura 1),
© Copyright 2025