
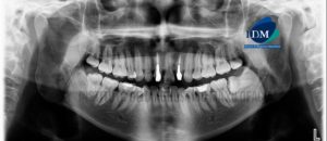
207 – Perforación en primera molar mandibular con conducto medio mesial y reabsorción radicular interna
Paciente masculino de 23 años de edad, es referido al Instituto de Diagnóstico Maxilofacial (IDM) para evaluación tomográfica de la pieza 3.6. En la radiografía


















