Paciente masculino de 23 años de edad, es referido al Instituto de Diagnóstico Maxilofacial (IDM) para evaluación tomográfica de la pieza 3.6.
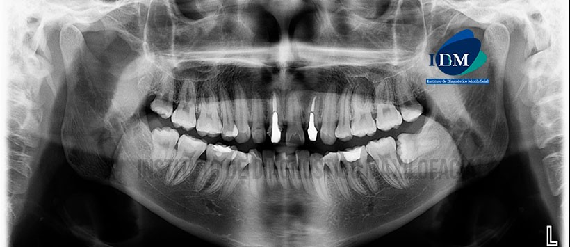
En la radiografía panorámica (Figura 1) se aprecia obturación de conductos radiculares y espigo muñón colado en piezas 11 y 22; la pieza 36 presenta restauración coronaria con compromiso de cámara pulpar, imagen radiolúcida en tercio cervical de raíz mesial con aparente comunicación hacia la zona de furca donde se observa proceso osteolítico.
A la evaluación de la tomografía volumétrica (CBCT) en cortes axiales (Figura 2), transaxiales (Figura 3) y tangenciales (Figura 4), se aprecia pérdida de estructura dentaria a nivel del tercio cervical medio de raíz mesial perforante hacia la zona de furca el cual se encuentra asociado a proceso osteolítico interadicular; además como hallazgo tomográfico se observa la presencia de un conducto adicional localizado en la parte media entre los conductos vestibular y lingual. En la evaluación de la raíz distal se aprecia proceso de reabsorción radicular interna en tercio medio radicular.
En las reconstrucciones 3D se observa de manera gráfica los procesos de reabsorción radicular interna, la perforación hacia la zona de furca y la presencia del conducto accesorio (Figura 5 y 6)
Conclusiones:
- Perforación en zona de furca de raíz mesial asociada a proceso osteolítico.
- Reabsorción radicular interna en tercio medio de raíz distal.
- Presencia de conducto medio mesial.
Paráfrasis
La primera molar mandibular usualmente presenta tres conductos: un distal y dos en mesial (mesiovestibular y mesiolingual), sin embargo puede existir variabilidad en la anatomía y morfología, tres conductos en la raíz mesial, denominado conducto mesio-mesial o medio-central, es una de ellas. Tiene una prevalencia de 1 a 46%. El fracaso para localizar, limpiar y dar forma a estos conductos puede resultar en infecciones persistentes a nivel apical.
El término “stripping”, es una perforación vertical que se produce especialmente en la sección de un conducto radicular curvo, causada por una instrumentación excesiva de la pared interna durante la extracción del material orgánico del espacio endodóntico y la conformación tridimensional del canal, el termino se refiere a una adelgazamiento de la pared seguida por una perforación.
Referencias:
- Prade Ana Carla, Mostardeiro Renata Da Trindade, Tibúrcio-Machado Camilla dos Santos, Morgental Renata Dornelles, Bier Carlos Alexandre Souza. Detectability of Middle Mesial Canal in Mandibular Molar After Troughing Using Ultrasonics and Magnification: An Ex Vivo Study. Braz. Dent. J. [Internet]. 2019 June [cited 2019 June 25] ; 30( 3 ): 227-231. Available from: Enlace aquí
- Ciobanu IE, Rusu D, Stratul SI, Didilescu AC, Cristache CM. Root Canal Stripping: Malpractice or Common Procedural Accident-An Ethical Dilemma in Endodontics. Case Rep Dent. 2016;2016:4841090. doi:10.1155/2016/4841090
Enlace aquí








