
240 – Características Radiológicas del Quiste Dentígero
El Quiste Dentígero (QD) es el quiste odontogénico del desarrollo mas prevalente de los maxilares, con una frecuencia de 18.1 %, su frecuencia en la

El Quiste Dentígero (QD) es el quiste odontogénico del desarrollo mas prevalente de los maxilares, con una frecuencia de 18.1 %, su frecuencia en la

La evaluación y comprensión de los movimientos de la articulación temporomandibular (ATM) y su activación son importantes para determinar las causas de la falta de

La osteomielitis es una infección del hueso que tiende a afectar la corteza adyacente, el periostio y los tejidos blandos. La osteomielitis de la mandíbula

La dentición ectópica intranasal es una entidad clínica bastante rara. Sin embargo, es importante identificar estos dientes, que puede ser supernumerario, deciduo o permanente, para

Es bien sabido que el éxito de la terapia endodóntica depende de la limpieza y conformación completa de los sistemas del conducto radicular, la obturación

Los objetivos El objetivo del estudio fue comparar la precisión de los diferentes métodos de adquisición y reconstrucción de datos y evaluar su utilidad para

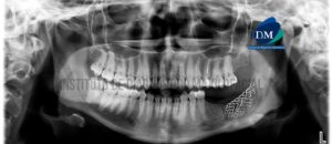
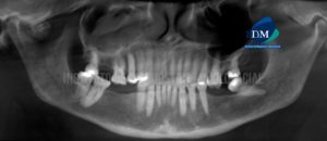
Paciente masculino de 48 años acude al Instituto de Diagnóstico Maxilofacial para evaluación postquirúrgico de lesión benigna de origen odontogénico (Amelobalstoma). A la evaluación de

Se realiza una interconsulta al Instituto de Diagnóstico Maxilofacial – IDM (Sede Miraflores) de la tomografía de un paciente masculino de 16 años de edad

Paciente femenino de 21 años de edad, es referido al Instituto de Diagnóstico Maxilofacial (IDM) para por control tomográfico post quirúrgico de reconstrucción de ATM.

Paciente de sexo masculino de 18 años de edad acude al Instituto de Diagnóstico Maxilofacial para evaluación de terceras molares por motivo de exodoncia. A

Paciente de sexo masculino de 32 años de edad acude al Instituto de Diagnóstico Maxilofacial para evaluación de la pieza 31 por motivo de colocación

Paciente femenino de 23 años de edad, es referido al Instituto de Diagnóstico Maxilofacial (IDM) para evaluación control tomográfico post quirúrgico de Fibroma Ameloblástico. En

Paciente pediátrico de sexo masculino acude al Instituto de Diagnóstico Maxilofacial para evaluación imagenológica. En la radiografía panorámica observamos las estructuras óseas de características conservadas,

Paciente de sexo femenino con 25 años de edad acude al Instituto de Diagnóstico Maxilofacial para evaluación imagenológica en zona anteroinferior. A la evaluación clínica

Paciente femenino de 73 años de edad, es referido al Centro de imágenes Diagnósis Bucal 3D en Ciudad de La Vega, República Dominicana, quienes realizan la interconsulta

Paciente masculino de 43 años de edad, es referido al Instituto de Diagnóstico Maxilofacial (IDM) para evaluación tomográfica por presencia de dolor en zona del

Paciente de sexo femenino de 40 años acude al Instituto de Diagnostico Maxilofacial para evaluación de la articulación temporomandibular de ambos lados. A la evaluación

Desde los inicios de nuestra formación académica como Odontólogos, siempre se ha recalcado la importancia del diagnóstico para lograr un buen tratamiento y por ende

Paciente masculino de 48 años de edad, es referido al Instituto de Diagnóstico Maxilofacial – IDM para evaluación tomográfica de la pieza 17. A la

Paciente de sexo masculino de 54 años acude al Instituto de Diagnóstico Maxilofacial para evaluación del sector dentario posterior. A la evaluación de la radiografía
© Copyright 2025