Paciente de sexo femenino de 40 años acude al Instituto de Diagnostico Maxilofacial para evaluación de la articulación temporomandibular de ambos lados.
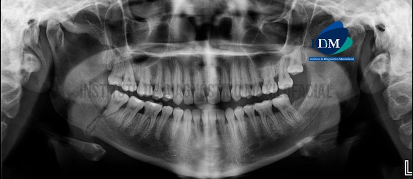
A la evaluación de la radiografía panorámica se aprecia una alteración de la morfología de cóndilo mandibular derecho (variante anatómica), neumatización alveolar de ambos senos maxilares, apiñamiento dentario de sector anterior, placa mineralizada en zona cervical de todo el sector dentario y múltiples restauraciones. Siendo lo mas resaltante la presencia de dos trazos radiolúcidos oblicuos, localizados en zona antegonial de lado derecho. (Figura 1)
A la evaluación mediante la tomografía volumétrica de haz cónico, se confirma que dichos trazos comprometen ambas tablas óseas (vestibular y palatina), la basal mandibular y hueso medular. Así mismo presenta una extensión desde la basal mandibular hacia cima de reborde alveolar (por distal de la pieza 48), adicionalmente se evidencia una aposición ósea en ambas tablas. Finalmente se visualiza que solo compromete las corticales del conducto dentario inferior. (Figura 2, Figura 3 y Figura 4)
En las reconstrucciones 3D y reformación panoramica podemos visualizar de manera ilustrativa las estructuras previamente descritas. (Figura 5, Figura 6 y Figura 7)
Conclusión:
- Fractura mandibular en zona antegonial en proceso de reparación ósea
Paráfrasis:
Las fracturas mandibulares ocupan el segundo lugar dentro de las fracturas faciales (superadas únicamente por las fracturas de los huesos nasales) y el décimo lugar entre las fracturas de todo el organismo; se calcula que anualmente las fracturas mandibulares ocupan el 36% de todas las fracturas del complejo maxilofacial. Desde el primer reporte de una fractura mandibular hecho en Egipto en el año 1650 a. de C. a la fecha, el cirujano oral y maxilofacial se ha dedicado a encontrar los patrones anatómicos más comunes dentro de estas fracturas, así como el rango de edad mayormente afectado, los tipos de tratamiento, complicaciones y secuelas más comunes.
Anatómicamente, los autores difieren en la localización más frecuente de una fractura mandibular: Boffano y Afrooz, en estudios del presente año, coinciden en que la zona parasinfisaria es la más afectada en las fracturas mandibulares; Tawfilis y colaboradores reportan como sitio más común el cuerpo mandibular, con 29%; para Acevedo y su equipo, lo más frecuente son también las lesiones en el cuerpo mandibular (43.5%); según Dongas y sus colegas, en el cuerpo mandibular ocurre 40% de los casos.
De acuerdo con el tipo de fractura, se pueden clasificar en rama verde, fractura simple, conminuta o completa; según la dirección de los trazos y la inserción de los músculos en los bordes proximales del trazo de fractura, se catalogan en favorables y desfavorables.
En las últimas décadas, diferentes asociaciones como la AO Foundation y autores como Champy han dictado las últimas tendencias en el manejo de las fracturas maxilofaciales; destaca la fijación interna rígida y semirrígida con materiales de osteosíntesis a base de titanio, el cual ha demostrado tener excelente biocompatibilidad y baja tasa de complicación.
Bibliografía:
Equipo de Investigación IDM









