El Quiste Dentígero (QD) es el quiste odontogénico del desarrollo mas prevalente de los maxilares, con una frecuencia de 18.1 %, su frecuencia en la población general se ha estimado en 1,44 quistes por cada 100 dientes no erupcionados. La lesión se caracteriza porque encierra la corona de un diente no erupcionado por expansión de su folículo y se une a su región cervical. Es un saco cerrado con revestimiento epitelial que se forma alrededor de las coronas de los dientes no erupcionados o con anomalías dentales como los odontomas. El QD es uno de los quistes odontogénicos más comunes y solo el quiste radicular lo supera en la frecuencia reportada de ocurrencia, representa aproximadamente el 24% de todos los quistes mandibulares revestidos de epitelio. Casi siempre involucra o está asociado con la corona de un diente permanente normal, rara vez está involucrado un diente deciduo.
El sitio más común para la aparición del QD es en la zona posterior de la mandíbula y los terceros molares mandibulares son los dientes más comúnmente asociados, seguidos por el canino maxilar permanente, los terceros molares maxilares y, con menos frecuencia, los incisivos centrales permanentes. Su aparición con molares mandibulares que no sean muelas del juicio es muy rara.
Los quistes dentígeros suelen ser descubrimientos incidentales cuando se toman radiografías para investigar la falla de la erupción dental, falta de un diente o mal alineamiento. Por lo general, no hay dolor ni molestias asociadas con el quiste a menos que se infecte de forma secundaria, en casos en que las lesiones lleguen a tener un gran tamaño existe expansión de laguna de las tablas óseas adyacentes al diente afectado.
Las radiografías muestran una lesión unilocular, radiolúcida, caracterizada por márgenes escleróticos bien definidos y asociada con la corona de un diente sin erupción. Mientras que un espacio folicular normal es de 3–4 mm, se puede sospechar un quiste dentígero cuando el espacio es más de 5 mm. Radiográficamente se reconocen tres variedades de QD: central, lateral y variedad circunferencial. En la variedad central, el quiste envuelve la corona simétricamente y empuja al diente lejos de la dirección de su erupción, por lo tanto, el diente puede encontrarse en el borde inferior de la mandíbula o en la rama ascendente o un canino maxilar puede llegar al seno maxilar o al el piso orbital y un incisivo central maxilar pueden encontrarse en el piso nasal. La variedad lateral, el quiste aparece debido a la dilatación del folículo en un lado de la corona y se encuentra comúnmente con aquellos dientes que están parcialmente en erupción, de modo que solo quedan expuestos las zonas más superiores. La tercera variante circunferencial parece envolver todo el diente, a diferencia de la variante central, donde solo está envuelta la corona del diente, esta variante debe diferenciarse de la variedad envolvente de queratoquiste odontogénico. En un análisis retrospectivo de cinco años, Zerrin et al encontraron que la incidencia de la variedad central era del 56% y del 44% para la variedad lateral.
La mayoría de los quistes dentígeros son solitarios. Los quistes bilaterales y múltiples generalmente se encuentran asociados con una serie de síndromes que incluyen la displasia cleidocraneal, el síndrome de Maroteaux Lamy y la mucopolisacaridosis. En ausencia de estos síndromes, la aparición de quistes dentígeros múltiples es rara.
El tratamiento de elección para el quiste dentígero es la enucleación junto con la extracción de los dientes impactados. Aunque en pacientes pediátricos se debe considerar la marsupialización para salvar el diente impactado y el brote del diente en desarrollo. Se ha visto que el potencial de erupción dental es mayor en dientes que tienen ápices abiertos.
Figura 1: Diagrama que ilustra la manera en que el folículo dental puede expandirse para producir las apariencias radiográficas de una variedad a) central; b) lateral; y c) circunferenciales de quistes dentígeros.
Figura 2: a) Radiografía panorámica que muestra la pieza 47 impactada en posición ectópica a nivel del reborde basal mandibular, con radiolucidez pericoronal; b) y c) Tomografía computarizada con haz cónico localizó el diente en la cara lingual y con nervio alveolar inferior orientado hacia vestibular.
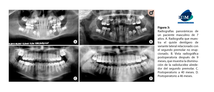
Figura 3: Radiografías panorámicas de un paciente masculino de 7 años. A. Radiografía que muestra el quiste dentígero de variante lateral relacionado con el segundo premolar no erupcionado. B. Vista radiográfica postoperatoria después de 9 meses, que muestra la disminución de la radiolucidez alrededor del segundo premolar. C. Postoperatorio a 40 meses. D. Postoperatorio a 46 meses.
Referencia:
Jendi S, Shaikh S. The Tooth Crossing the Confinement of Mandible: An Unique Expression of Central Variety of Dentigerous Cyst. Indian J Otolaryngol Head Neck Surg 2019;71(1):860-864.
C.D Esp. Luis Alberto Cueva Principe





