adminidm

IDM - Radiografía panorámica - idm

233 – Torus Palatino

Paciente femenino de 50 años de edad acude al Instituto de Diagnóstico Maxilofacial para evaluación imagenológica general debido a que se realizara un tratamiento de

Leer más »
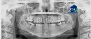
IDM - Radiografía - idm

226 – Rizogénesis Incompleta

Paciente de 29 años acude al Instituto de Diagnóstico Maxilofacial para evaluación imagenológica de los incisivos centrales. A la evaluación de la radiografía panorámica se

Leer más »

224 – Osteoma en seno maxilar

Se realiza una interconsulta para evaluación tomográfica de un paciente femenino de 36 años, por hallazgo de una “masa ósea” dentro del seno maxilar. En

Leer más »
IDM FIGURAS a b c

244 – Síndrome Yugular de Eagle

El alargamiento del proceso estilohioideo está históricamente asociado con dos variantes del síndrome de eagle. En 1937, Eagle propuso dos síndromes asociados con un proceso

Leer más »