Paciente masculino de 17 años asistió a la clínica de cirugía oral y maxilofacial en la Universidad King Saud solicitando la extracción de todos los terceros molares. Al examen dental inicial reveló una dentición permanente mínimamente restaurada con buena higiene bucal.
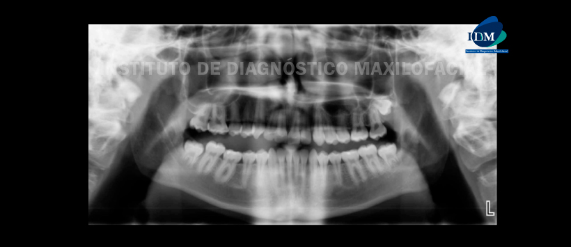
A la evaluación de la radiografía panorámica. Se evidencio que todos los terceros molares estaban presentes e impactados, excepto en el lado superior derecho donde faltaba el diente, con los terceros molares inferiores muy cerca de los canales alveolares inferiores (Figura 1).
Para evaluar la profundidad y el ancho de estas depresiones, las imágenes CBCT se reconstruyeron en planos alineados con los ejes de los segundos premolares mandibulares derecho e izquierdo en la dimensión mesiodistal, la dimensión bucolingual y la dimensión coronoapical. Luego, se realizaron mediciones lineales que representan el ancho de las depresiones a lo largo de una línea dibujada tangente a las alturas de los contornos (cresta de curvaturas) de las superficies linguales de la mandíbula superior e inferior a la depresión bilateral. Se encontró que el ancho superoinferior de las depresiones era 2.1 cm en el lado derecho y 2.9 cm en el lado izquierdo. Las mediciones lineales que representan la profundidad bucolingual de las depresiones que se realizaron a lo largo de una línea trazada perpendicular a la línea de ancho mencionada anteriormente hasta el punto más profundo de la depresión; medía 0,59 cm en el lado izquierdo y 0,6 cm en el lado derecho. El grosor bucolingual de la mandíbula restante era de 0,42 cm en el lado izquierdo y de 0,45 cm en el lado derecho (Figuras 2-3).
Se concluyó que el diagnóstico era depresiones sublinguales bilaterales de la mandíbula. Se considera una variación anatómica normal que no requiere ninguna investigación o intervención adicional.
La depresión lingual anterior es una variante anatómica rara que representa un desafío durante la práctica de implantes. Debido a su ubicación, la depresión puede perderse fácilmente en las radiografías panorámicas o periapicales, pero puede identificarse fácilmente mediante el examen CBCT, lo que enfatiza la importancia de esta modalidad de imagen para la evaluación del sitio del implante y la planificación del tratamiento en implantología para prevenir enfermedades graves y de por vida. complicaciones amenazantes
Equipo IDM





