Paciente femenino, 36 años de edad, es referido al Instituto de Diagnóstico Maxilofacial – IDM (Sede Miraflores) para evaluación tomográfica para evaluación de la pieza 21.
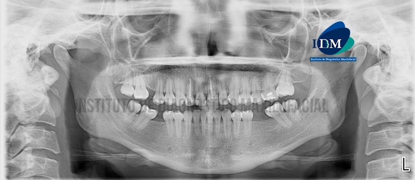
En la radiografía panorámica (Figura 1) se observa a las piezas 12 y 21 con restauración coronaria y obturación de conductos radiculares con aparente sobreobturación en pieza 21. Presencia de múltiples restauraciones y ausencias de piezas 16, 28, 36 y 46.
A la evaluación de la tomografía volumétrica (CBCT) localizado para la pieza 21, en cortes axiales (Figura 2), transaxiales (Figura 3) y tangenciales (Figura 4), se evidencia: Pieza 21 con restauración protésica coronaria, espigo en falsa vía hacia la pared vestibular-mesial del tercio medio radicular con perforación hacia el espacio periodontal y asociado a proceso osteolítico para-radicular. Se aprecia sobreobturación de conducto radicular con sobre-extensión de material endodontico (gutapercha) hacia el tejido blando adyacente por vestibular y asociado a proceso osteolítico periapical con erosión de la tabla ósea vestibular.
En las reconstrucciones 3D (Figura 5 y 6) se aprecia de manera gráfica la sobreobturación, la falsa vía y la perforación de la pieza 21.
Conclusión: Pieza 21, espigo en falsa vía y con perforación radicular, sobre obturación de conducto radicular.
Paráfrasis
El tratamiento de conductos, está asociado con circunstancias ocasionales indeseadas e imprevistas, que se denominan de manera colectiva accidentes de procedimiento. Los accidentes durante la terapia endodóntica pueden definirse como aquellos sucesos infortunados que ocurren durante el tratamiento, algunos de ellos por una falta de atención y otros por ser totalmente imprevisibles.
La clasificación propuesta por Ingle de los percances endodónticos, incluye a los relacionados con la instrumentación, dentro de los cuales están las perforaciones del conducto y los percances que se presentan relacionados con la obturación, entre las cuales están las obturaciones de los conductos radiculares sobreextendidas o subextendidas. La perforación de la raíz da como resultado la comunicación entre las paredes del conducto radicular y el espacio periodontal (superficie externa del diente). Generalmente es causada por un accidente de procedimiento quirúrgico o una alteración patológica (como caries dental extensa y resorción inflamatoria externa o interna de la raíz). Diferentes factores pueden predisponer a esta comunicación, como la presencia de cálculos pulpares, calcificación, reabsorción, malposición dental (inclinación inusual en el arco, inclinación o rotación), una restauración extracoronal o postes intracanales.
Referencias:
- Terrazas RTA, et al. Accidentes de procedimiento endodóntico. Revista Odontológica Mexicana 2011;15 (3): 183-188.
Enlace aquí - Estrela Carlos, Decurcio Daniel de Almeida, Rossi-Fedele Giampiero, Silva Julio Almeida, Guedes Orlando Aguirre, Borges Álvaro Henrique. Root perforations: a review of diagnosis, prognosis and materials. Braz. oral res.
Enlace aquí
Equipo Investigación IDM








