Paciente de 17 años, sexo femenino, acude al Instituto de Diagnóstico Maxilofacial – IDM (Sede Miraflores) para evaluación tomográfica por la falta de erupción de pieza 35.
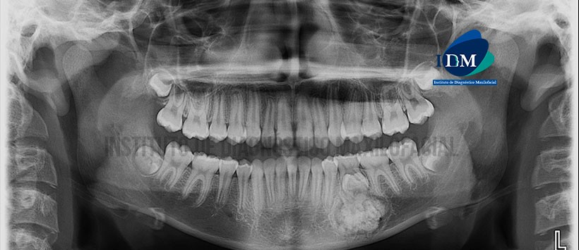
En la radiografía panorámica (Figura 1) se observa presencia de imagen radiopaca de densidad dentaria delimitada por un halo radiolúcido localizado en cuerpo mandibular izquierdo, condicionando la impactación de pieza 35.
A la evaluación de la tomografía volumétrica (CBCT) en cortes axiales (Figura 2), coronales (Figura 3), transaxiales (Figura 4) y tangenciales (Figura 5) se aprecia múltiples imágenes hiperdensas de diferentes formas y tamaños con aspecto a piezas dentarias (denticulos), delimitado por un halo hipodenso localizado en cuerpo mandibular izquierdo que se extiende en sentido mesio-distal de raíz mesial de pieza 36 a zona apical de pieza 35, en sentido cefálico-caudal del reborde basal mandibular hasta zona próxima a la cresta alveolar. Así mismo se observa desplazamiento caudal del conducto dentario inferior, adelgazamiento y desplazamiento de la tabla ósea vestibular e impactación de la pieza 35 la misma que se encuentra en posición vertical a nivel de la tabla ósea lingual y persistencia de pieza 75.
En las reconstrucciones 3D se aprecia las imágenes descritas antes de los denticulos, la impactación dentaria en pieza 35 y la expansión de la tabla ósea vestibular. (Figura 6 y 7).
Conclusión: Signos tomográficos compatible con Odontoma compuesto mandibular
Paráfrasis
El término «odontoma» fue introducido en 1867 por Broca. Es una neoplasia benigna mixta de origen odontógeno, es decir, es una lesión de células odontogénicas epiteliales y mesenquimatosas, completa- mente diferenciadas y que forman esmalte, dentina y cemento
Los odontomas son los tumores odontogénicos con mayor frecuencia de aparición y representan el 51% de todos los tumores odontogénicos. Diversos autores han clasificado los odontomas de distintas formas. Así encontramos que los han dividido en odon- toma ameloblástico, compuesto y complejo. El odontoma compuesto es una malformación en la que están representadas todos los tejidos dentarios con un patrón más ordenado que un odontoma com- plejo, de modo que la lesión consiste en muchas estructuras de aspecto dentario. La mayoría no mantie- ne la estructura de la dentición normal, pero en cada una el esmalte, la dentina, el cemento y la pulpa están dispuestos como en el diente normal.
Radiográficamente el odontoma compuesto se pre- senta como una imagen mixta (radiopaca y radiolúcida), que adopta una configuración similar a dien- tes (dentículos), rodeados por un halo radiolúcido. Dependiendo del grado de calcificación del odontoma, se pueden identificar tres estadios de desarrollo, en el primero la lesión aparece radiolúcida (debido a la falta de calci- ficación de los tejidos dentales), en el intermedio se caracteriza por una calcificación parcial y en el final el odontoma aparece radiopaco, rodeado por un halo radiolúcido
La mayor parte de los odontomas son asintomáticos, aunque pueden aparecer signos y síntomas relacionados con su presencia, tales como dientes supernumerarios, impactados, retenidos, inflamación e infección.
Referencias:
- Vázquez Diego J, Gandini Pablo C, Carbajal Eduardo E. Odontoma compuesto: Diagnóstico radiográfico y tratamiento quirúrgico de un caso clínico. Av. Odontoestomatol 2008; 24 (5): 307-312.
Enlace aquí - Thistle L, Muela D, Nevárez M. Ríos V, Nevárez A. Aspectos descriptivos del odontoma: revisión de la literature. Revista Odontológica Mexicana 2016;20 (4): 272-276
Enlace aquí
Equipo de Investigación IDM










