Paciente femenino de 73 años de edad, es referido al Centro de imágenes Diagnósis Bucal 3D en Ciudad de La Vega, República Dominicana, quienes realizan la interconsulta al Instituto de Diagnóstico Maxilofacial (IDM) para evaluación tomográfica.
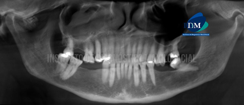
En la reconstrucción panorámica tomográfica (Figura 1) se observa presencia de múltiples imágenes hiperdensas en zona anterior del cóndilo mandibular derecho.
A la evaluación de la tomografía volumétrica (CBCT) cortes axiales (Figura 2), coronales (Figura 3), sagitales (Figura 4), sagitales y coronales de las ATMs (Figuras 5 y 6), se observa, en boca cerrada: presencia de múltiples imágenes hiperdensas de diversos tamaños y formas irregulares de densidad de hueso compacto y esponjoso, localizados a nivel anterior (por debajo de la eminencia articular), adyacente a la parte externa del cóndilo mandibular derecho y un cuerpo libre a nivel posterior del cóndilo, se extiende hacia la base craneal media (por debajo de la porción petrosa del hueso temporal), se aprecia aplanamiento y esclerosis subcondral del cóndilo mandibular derecho y disminución severa del espacio articular anterosuperior (compresión articular). En boca abierta: Trayectoria y desplazamiento bicondílea dentro de los parámetros normales, masas de cuerpos libres acompañan levemente el desplazamiento condilar derecho.
En las reconstrucciones 3D se observan con detalle la presencia de los múltiples cuerpos libres alrededor del cóndilo derecho tanto en boca cerrada y boca abierta (Figura 7, 8 y 9).
Conclusiones:
- Signos tomográficos sugerentes de Condromatosis Sinovial de la ATM derecha
Paráfrasis
La condromatosis sinovial (CS) es una metaplasia cartilaginosa de los remanentes mesenquimales del tejido sinovial de las articulaciones. Se caracteriza por la formación de nódulos cartilaginosos en la sinovial y en la cavidad articular (cuerpos libres). Esta enfermedad también puede ser conocida por nombres como: osteocondromatosis sinovial, condrometaplasia sinovial, condrosis sinovial, metaplasia sinovial, sinovialoma y condrometaplasia tenosinovial periarticular.
La CS afecta sobre todo a grandes articulaciones sinoviales como la rodilla o el codo, siendo rara su aparición en la ATM. Al ser una enfermedad crónica y de lenta progresión, la edad media de diagnóstico está en torno a los 55 años. Se distinguen 2 formas: La CS primaria, una metaplasia condral de restos de tejido mesenquimal a nivel subsinovial. Tiene 3 estadios: 1-Proceso limitado a la membrana sinovial, formando papilas hiperémicas y edematosas. 2-Metaplasia subsinovial con presencia de partículas libres intraarticulares, con condrocitos activos. 3-Partículas libres, con membrana sinovial normal. La CS secundaria, mucho más frecuente, suele ser debida a cambios artrósicos o traumáticos, con liberación de fragmentos osteocondrales al espacio articular.
Los síntomas predominantes son dolor (69%), inflamación (68%), limitación de los movimientos mandibulares (46%) y crepitación (40%). Los métodos diagnósticos incluyen la Rx Panorámica, la TC, la RM y la artroscopia de ATM.
La radiología convencional es negativa en 24-57% de los casos. Sólo si los cuerpos libres están calcificados serán visibles. Los signos indirectos son inespecíficos: erosiones óseas, esclerosis, aumento del espacio articular. La TC puede definir el tamaño, forma y localización de los cuerpos libres, aunque la prueba de elección es la RM, que permite el diagnóstico diferencial con otros trastornos proliferativos sinoviales, delimita la extensión de la lesión, localiza los condromas y confirma el origen sinovial de la lesión. Es especialmente útil cuando se sospecha extensión intracraneal, para valorar la proximidad y afectación de la duramadre y planificar la cirugía. Una adecuada valoración mediante TC o RM puede evitar parotidectomías y condilectomías innecesarias.
Referencias:
- Martín-Granizo Rafael, Sánchez Juan Jesús, Jorquera Manuela, Ortega Luis. Condromatosis sinovial de la articulación temporomandibular: Estudio clínico, radiológico e histológico. Med. oral patol. oral cir. bucal (Ed.impr.) [Internet]. 2005 Jul [citado 2019 Ago 06] ; 10( 3 ): 272-276.
Enlace aquí - Quirós Alvarez P., García Marín F., Burgueño García M., Vázquez Carnero R.. Condromatosis sinovial de la articulación temporomandibular. Rev Esp Cirug Oral y Maxilofac [Internet]. 2006 Abr [citado 2019 Ago 06] ; 28( 2 ): 100-105.
Enlace aquí
Equipo Investigación IDM











