Paciente femenino de 23 años de edad, es referido al Instituto de Diagnóstico Maxilofacial (IDM) para evaluación control tomográfico post quirúrgico de Fibroma Ameloblástico.
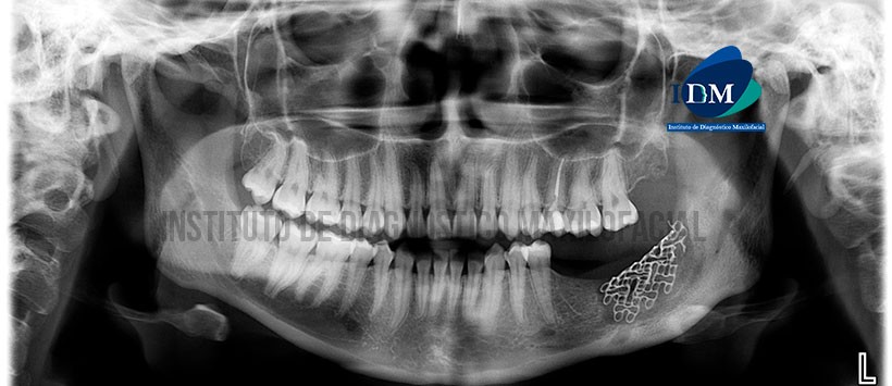
En la radiografía panorámica (Figura 1) se observa presencia de malla quirúrgica en zona alveolar del sector postero-inferior del lado izquierdo, asociado a imagen radiolúcida adyacente.
A la evaluación de la tomografía volumétrica (CBCT) cortes axiales (Figura 2), coronales (Figura 3), transaxiales (Figura 4), y tangenciales (Figuras 5), se observa presencia de imagen heterogénea de límites definidos localizado en cuerpo mandibular izquierdo, que se ex tiende en sentido mesio-distal de zona alveolar correspondiente a pieza 37 hacia el borde anterior de la rama y en sentido cefálico-caudal del reborde alveolar hasta el conducto dentario inferior y zona del reborde basal mandibular en su parte mesial. La lesión se encuentra en relación a la presencia de malla quirúrgica y aparentes restos de material de regeneración ósea; ocasiona el borramiento de la cortical superior del conducto dentario inferior y expansión de las tablas óseas vestibular, lingual y reborde basal mandibular con aumento de la densidad ósea circundante.
En las reconstrucciones 3D se observan con detalle la presencia de la malla quirúrgica y la lesión que ocasiona expansión de las tablas óseas (Figura 6,7 y 8).
Conclusiones:
- Signos tomográficos sugerentes de recidiva de tumor odontogénico benigno (Fibroma Ameloblástico)
Paráfrasis
El fibroma ameloblástico es un tumor benigno odontogénico mixto (epitelial y mesenquimal) de rara aparición, que constituye 2 % de todos los tumores odontogénicos. La primera referencia que se tiene del fibroma ameloblástico se debe a Kruse en 1891, desde entonces se han publicado diferentes casos y revisiones, estableciendo la frecuencia entre 1 y 3 % de los tumores odontogénicos, según la serie.
El tratamiento consiste en realizar enucleación y curetaje ya que la lesión está bien encapsulada y se separa fácilmente de la cripta ósea que la rodea, sin embargo debido a que clínicamente el fibroma ameloblástico es de comportamiento impredecible, puede obligar a un tratamiento quirúrgico agresivo cuando el comportamiento local no es benigno, o estamos ante una lesión recidivante, las recidivas se presentan debidas a una extirpación inicial insuficiente, principalmente en lesiones multiloculares en las cuales existe un 18,3% de posibilidad de recidiva según Zallen et al. y por ello, el control postoperatorio debe mantenerse al menos durante 5 años.
Independientemente del tratamiento, los pacientes con fibroma ameloblástico deben tener seguimiento por un largo periodo para detección temprana de posibles recurrencias de desarrollo de fibrosarcoma ameloblástico, el cual es la contraparte maligna del fibroma ameloblástico, 4 y 45 % de estas lesiones malignas se originan a partir del fibroma ameloblástico recurrente.
Referencias:
- Ruiz-Ortega S, Tovar-Bernal C, Soriano-Padilla F. Fibroma ameloblástico que involucra tres molares. Informe de un caso. Rev Med Inst Mex Seguro Soc 2011; 49(3): 339-344.
Enlace aquí - Carroll C, Gill M, Bowden E, O’Connell JE, Shukla R, Sweet C. Ameloblastic Fibroma of the Mandible Reconstructed with Autogenous Parietal Bone: Report of a Case and Literature Review. Case Rep Dent. 2019 Jun 18;2019:5149219. doi: 10.1155/2019/5149219. PubMed PMID: 31316839; PubMed Central PMCID: PMC6604494.
Enlace aquí
Equipo de Investigación IDM










