El presente reporte nos muestra a una paciente de 35 años de edad que acude a la consulta por motivo de malposicion dentaria, la cual habría aumentado gradualmente con el tiempo. Así mismo el paciente dio antecedentes de traumatismo en la barbilla, debido a la caída de un scooter a la edad de 10 años. No se asoció con ninguna fractura o sangrado de la zona afectada y su historia familiar fue negativa en busca de anomalías craneofaciales.
En una inspección extraoral, la asimetría facial fue evidente [Figura-1], revelando un lado derecho hipoplásico y la desviación de pogonion hacia el lado derecho. A la evaluación de la articulación temporomandibular reveló el desplazamiento de la línea media hacia la derecha durante la apertura bucal [Figura -2]. El cóndilo mandibular derecho no era palpable y la apertura de la boca era de 18 mm aproximadamente.
Los diagnosticos diferenciales fueron trismus, hipertrofia de la apófisis coronoides y anquilosis de la articulación temporomandibular secundaria a un traumatismo.
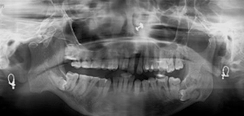
Posteriormente se realizó una ortopantomografía [Figura-3] que reveló una impactación en posición horizontal de las piezas 38 y 48. Así como una imagen radiolucida que rodea la región periapical de la pieza 38. También se encontró un aplanamiento de la cabeza del cóndilo mandibular izquierdo y una alteración de la morfología del cuello y cóndilo mandibular derecho en donde la escotadura sigmoidea mostró una curvatura reducida junto a una muesca prominente antegonial.
Debido a la superposición de imágenes, se optó por la exploración mediante la tomografía volumétrica de haz cónico, específicamente para determinar la morfología exacta de la ATM derecha. En la cual se observó una proyección ósea de aproximadamente 16,5 mm de la escotadura sigmoidea, la cual se extiende en sentido anterosuperior a una distancia de 6,9 mm de la apófisis coronoides y 12,1 mm del cóndilo mandibular. Y en la reconstrucción 3D se aprecia de manera ilustrativa esta alteración ósea a nivel de la escotadura sigmoidea de lado derecho. [Figura- 4].
En este reporte de caso los autores llegaron a la conclusión de que este es un caso poco frecuente de una alteración de la morfología de la escotadura sigmoidea, la cual no se relaciona con ninguna alteración patológica clara. Al ser este caso de etiología desconocida y basándose en los estudios previos (clínicos e imagen lógicos), sugirieron que se trató de un caso de origen congénito
La tomografía Cone Beam cada día es de mayor utilidad en las diversas áreas odontológicas, siendo en este caso, el área de anatomía, ya que no solo nos permite ver distintos tipos de patologías sino también nos permite visualizar variantes anatómicas.
Cabe mencionar que en el presente reporte los investigadores sugirieron ampliar el estudio con análisis de sangre para descartar cualquier trastorno óseo.
- Anjali Gupta1, SanchitaKant2, Tushar Phulambrikar3, Manasi Kode4, Siddharth Kumar Singh5 “Unusual Morphological Alteration in Sigmoid Notch: An Insight Through CBCT” Journal of Clinical and Diagnosis Research 2015; 9(12): 01 – 08
http://www.ncbi.nlm.nih.gov/pubmed/26816996
Figura 1 y Figura 2: Evaluación clínica extraoral
Figura 3: Radiografía panorámica
Figura 4: Cone Beam – Reconstrucción multiplanar y renderizado 3D
Autor: CD Eduardo Calle Velezmoro y MG ESP Andres Agurto Huerta





