La sialoadenitis secundaria en relación a la sialolitiasis es más frecuente en la glándula submandibular que en otras glándulas, siendo infecciones agudas como también crónicas.
Esta alteración ocurre en más del 50% de la población; de los cuales el 80% ocurre en la glándula submandibular, el 6% en la Parotida, 2% en la glándula sublingual y el resto en las glándulas salivales menores.
Los cálculos pequeños de aproximadamente 3-7 mm son comunes ya sea en el conducto submandibular o en la misma glándula. Los cálculos pequeños son de aproximadamente de 3 -7 mm los cuales son comunes tanto en el conducto como la glándula submaxilar. Sin embargo aquellos cálculos de un tamaño promedio de 33 mm x 10 mm o de una cantidad mayor de cálculos son extremadamente inusuales.
Un dilema ha aumentado con respecto a la elección de tratamiento ya que existen dos opciones: la extirpación endoscópica y la escisión externa.
En el presente artículo muestra un reporte de caso de sialolitiasis generalmente infrecuente del conducto submandibular junto con la glándula, destacando factores determinantes como
tamaño, lugar, tipo y número de cálculos junto con el estado de la glándula al decidir el tratamiento de elección.
Paciente masculino de 32 años, proveniente de la India, acude al departamento cirugía del New Medical Center Hospital, Abu Dhabi, Emiratos Árabes Unidos por molestia de laso izquierdo así como un aumento de volumen con presencia de dolor de la zona cervical y piso de boca desde
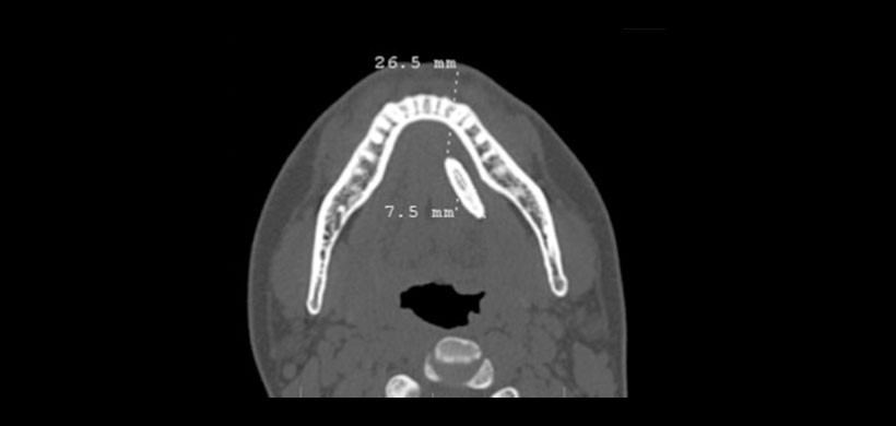
2 meses. Se realizó una TC, la cual mostro mostró un cálculo en el conducto submandibular izquierdo de 28,5 mm (Fig. 1).Luego de la escisión del cálculo el tamaño real del espécimen postoperatorio del cálculo resultó ser de 33,3 9 10 mm (Figuras 2 y Figura 3).
El tratamiento a realizarse ya sea mediante extirpación endoscopica o escisión externa debe siempre de contar con la localización exacta del cálculo así como el tamaño, lo cual solo se puede lograr con un examen imagenológico previo siendo los exámenes tridimensionales los mas indicados para estos casos.
Hazarika P, Seema E, Rohit S, Arora S, Deep and Unusual Sialolithiasis of submandibular duct and gland: A surgical Dilema. Indian J. Otolaryngol Head and Neck surg. 2014 65(4); 309 -313
Enlace aquí
Autor. CD Eduardo Calle, Mg. Esp. Andrés Agurto





