La radiografía panorámica y la tomografía computarizada de haz de cónico (CBCT) son dos tipos de técnicas de imagen en la odontología moderna. La radiografía panorámica proyecta la maxila, mandíbula, cavidades nasales, dentición completa y articulaciones temporomandibulares sobre una sola imagen. Una radiografía panorámica proporciona a los odontólogos una visión general de la salud bucal de un paciente y el estado de sus dientes asociados estructuras; Sin embargo, la distorsión geométrica, el desenfoque y la superposición estructural presentes en estas imágenes podrían influir en el juicio clínico.
La presente investigación propone un método automático de reformación panorámica basándose en los datos obtenidos de la tomografía computarizada de haz de cónico (CBCT) para observar directamente todas las estructuras dentarias.
Este método consiste en tres pasos. En primer lugar, la curva del arco dental se genera a partir de la proyección de intensidad máxima (MIP). Luego, a partir de esta curva se crea una superficie curva 3D panorámica que describe toda la dentición. Finalmente, la reformación panorámica se sintetiza desarrollando esta superficie 3D. (Figura 1)
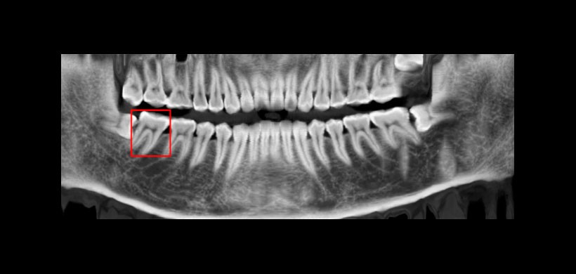
En este estudio se utilizaron conjuntos de datos CBCT en forma de mordida, las imágenes resultantes se analizaron para evaluar la eficacia de este método. Con el cual, una reformación panorámica de una sola pieza puede mostrar la dentición completa sin el desenfoque y superposición de otras estructuras. Además, También se pueden sintetizar reformaciones panorámicas con diferentes tipos de grosores. Mostrando otras características como el canal nervioso mandibular. (Figura 2)
Una característica de la propuesta por este método es la realización de manera automática. Otra característica del método propuesto es que requiere de reformaciones panorámicas más finas las cuales permiten mostrar en conjunto la dentición que los producidos por otros métodos existentes, lo que contribuye a la claridad de las estructuras anatómicas, incluyendo el esmalte, la dentina y la pulpa.
Además, este método puede procesar rápidamente datos comunes de CBCT. La velocidad y la calidad de imagen de este hacen de ella una opción atractiva para observar toda la dentición en un entorno clínico.
Figura1: Secuencia de reformación de la panorámica
Figura 2: Reformación panorámica
Autor: CD Eduardo Calle y Mg. Esp. Andres Agurto




