Paciente femenino de 39 años de edad, es referido al Instituto de Diagnóstico Maxilofacial – IDM para evaluación general.
En la radiografía panorámica (Figura 1), se aprecia pieza supernumeraria invertida proyectada en zona anterior del maxilar superior.
Radiografia Panorámica

A la evaluación de la tomografía volumétrica (CBCT) en los cortes axiales (Figura 2) y transaxiales (Figura 3), se aprecia pieza supernumeraria en posición invertida localizada a nivel de pieza 11, segmento radicular en contacto con la cortical de conducto nasopalatino, segmento coronario en contacto con el piso de fosa nasal derecha.
CORTES AXIALES

CORTES TRANSAXIALES

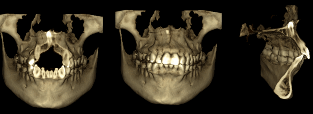
En las reconstrucciones 3D se representa de manera didáctica Mesiodent en posición invertida (Figura 4).
RECONSTRUCCIÓN 3D

Conclusión:
- Mesiodent en posición invertida
Paráfrasis
Los dientes supernumerarios son piezas dentales adicionales a la dentición normal.
Entre ellos, el mesiodens es el tipo más común, ubicado en la línea media del maxilar superior, generalmente entre los incisivos centrales. Puede presentarse de manera única, múltiple o bilateral. Aunque en muchos casos es asintomático, su presencia puede generar diversas complicaciones, como impactación de los incisivos
permanentes, retraso en la erupción, erupción ectópica, apiñamiento dental, alteraciones en la formación radicular, diastema medio, rotación de dientes adyacentes, reabsorciones radiculares o incluso formación de quistes.
Gracias al uso de la tomografía computarizada de haz cónico (CBCT) en la regiónafectada es posible evaluar con precisión la posición, morfología y estructura del diente supernumerario.
Bibliografía:
Falcón-Guerrero BE, Falcón-Pasapera GS. Supernumerario invertido ubicado en el paladar duro: una historia poco conocida. Rev Peru Cienc Salud. 2024; 6(1):63-7.
Pérez JS, Orejuela FJ, Quezada MM. Dientes supernumerarios tipo mesiodens evaluados a través de radiografías panorámicas digitales en un centro radiológico privado en Manizales, Colombia. Rev Estomatol Herediana. 2024; 34(3): 203-210.

Dr. Cesar Castillo Rios
Especialista en radiología bucal y maxilofacial
Cirujano Dentista especialista en Radiología Bucal y Maxilofacial de la Universidad de San Martin de Porres (USMP). Actualmente miembro del Staff de Radiólogos del Instituto de Diagnostico Maxilofacial - IDM
Más información