Paciente masculino de 23 años de edad, es referido al Instituto de Diagnóstico Maxilofacial – IDM para control tomográfico.
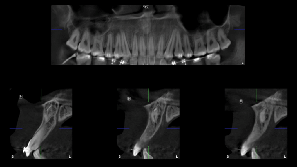
En la radiografía panorámica (Figura 1), se aprecia imagen radiopaca proyectada sobre línea media.

Radiografia Panorámica

caso 328 idm raciografia panoramica

A la evaluación de la tomografía volumétrica (CBCT) en los cortes axiales (Figura 2) y transaxiales (Figura 3), se aprecia pieza supernumeraria en posición invertida localizada en zona anterior del maxilar superior, así mismo se observa disminución de la densidad a nivel coronario y reabsorción radicular externa a nivel del tercio cervical (ameloclasia).

CORTES AXIALES

caso 328 idm cortes axiales

CORTES TRANSAXIALES

caso 328 idm cortes tangenciales

En las reconstrucciones 3D se representa Mesiodens. (Figura 4).

RECONSTRUCCIÓN 3D

caso 328 idm reconstruccion 3D

Conclusión:

  • Mesiodens.

Paráfrasis
El mesiodens es el diente supernumerario que aparece con mayor frecuencia en la dentición permanente. En la mayoría de los casos se detecta de forma casual. Un diagnóstico precoz permite su extracción temprana, facilitando la erupción espontánea de los incisivos permanentes y evitando tratamientos quirúrgicos u ortodónticos más complejos.
Aproximadamente el 90 % de los dientes supernumerarios se encuentran en el maxilar superior, siendo el mesiodens el más común en la línea media, representando entre el 47 % y el 67 % de los casos, con una prevalencia en la población general que oscila entre el 0,15 % y el 1,9 % .
Aunque suelen ser asintomáticos, los mesiodens pueden causar erupción retardada o inclusión del incisivo central superior permanente, apiñamiento y maloclusiones. Morfológicamente, pueden presentar formas variadas como cónica, tuberculada o suplementaria.
El manejo del mesiodens varía según su tipo y ubicación, y generalmente requiere un enfoque multidisciplinario

Bibliografía:

  1. Garcilazo A, Tenorio G, Villaseñor N. Mesiodens: reporte de un caso de incisivo central superior impactado. Abordaje interdisciplinario. Ciencias Clínicas 2014;15(1):9-13.

  2. Díaz M, Vicente M. Mesiodens: presentación de tres casos. Rev Pediatr Aten Primaria. 2010 Mar; 12(45): 79-87.

IDM Dr César Castillo IDM Perú

Dr. Cesar Castillo Rios

Especialista en radiología bucal y maxilofacial
Cirujano Dentista especialista en Radiología Bucal y Maxilofacial de la Universidad de San Martin de Porres (USMP). Actualmente miembro del Staff de Radiólogos del Instituto de Diagnostico Maxilofacial - IDM

Más información

¡Inscríbete en nuestros Talleres!

MATRICÚLATE AQUÍ

Casos relacionados

Deja una respuesta

Tu dirección de correo electrónico no será publicada. Los campos obligatorios están marcados con *