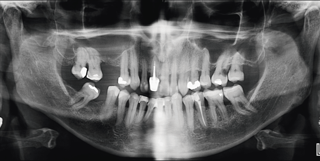
Paciente masculino de 70 años de edad acude a IDM- Sede Miraflores para realizarse una tomografía por un dolor leve que sentía en el primer cuadrante, a la evaluación de la radiografía panorámica se observa edentulismo parcial, la neumatización de ambos senos maxilares, reabsorción ósea moderada del proceso alveolar, las piezas 18 y 17 con restauraciones coronarias amplias, así como piezas dentales con tratamiento de conductos (subextendida en la pieza 11) y la presencia de una lesión cariosa cervicodistal amplia en la pieza 26.
Radiografia Panorámica

A la evaluación de la tomografía de campo reducido con un tamaño de voxel de 0.75 mm se pudo observar el seno maxilar derecho con presencia de contenido isodenso compatible con sinusitis de origen no odontogénico. Asimismo, se evidencio una reabsorción radicular externa por aposición que compromete la raíz mesiovestibular de la pieza 18 y la raíz distovestibular de la pieza 17 y que se extendía hasta conducto pulpar (visto en cortes tangenciales y axiales) y finalmente se observó hipercementosis de ambas piezas y ausencia del espacio para el ligamento periodontal perirradicular a predominio de zona interproximal de las raíces palatinas compatible con concrescencia.
CORTES AXIALES

CORTES TANGENCIALES

CORTES TRANSAXIALES

RECONSTRUCCIÓN 3D

PARÁFRISIS
La concrescencia es un término utilizado para referirse a un tipo de fusión que ocurre después de que la corona está completamente formada y los dientes se unen solo por el cemento.
Cuando existen dos dientes y uno de ellos no presenta actividad periodontal significativa, con el tiempo el cemento puede acercarse a la raíz del otro diente de forma gradual y silenciosa. El hueso interdental puede haberse atrofiado de la misma manera. Esta ausencia de hueso interdental y la falta de estimulación de la función periodontal pueden provocar la fusión de capas aposicionales entre dos raíces de dos dientes o entre raíces del mismo diente.
La inflamación causada por traumatismo o contaminación microbiana, tiende a causar reabsorción radicular inflamatoria e incluso anquilosis, además de reabsorción por reemplazo.
Bibliografía:
- Cruces Valdivia AG, Fiori-Chíncaro GA, Agudelo-Botero AM. Cavidad idiopática de Stafne: características y consideraciones imagenológicas. Una revisión [Stafne's idiopathic bone cavity: characteristics and imagenological considerations. A review]. Rev Cient Odontol (Lima). 2021 Oct 6;9(3):e076.

Dra. Margarita Leando
Especialista en Radiología Oral y Maxilofacial
Cirujana dentista especialista en Radiologia Bucal y Maxilofacial de la Universidad Peruana Cayetano Heredia. Actualmente miembro del Staff de Radiólogos del Instituto de Diagnóstico Maxilofacial - IDM.
Más información