Paciente masculino de 09 años de edad acude al Instituto de Diagnóstico Maxilofacial para una tomografía de campo mediano (10 x 10mm) con el motivo de consulta para evaluar un posible supernumerario.
Radiografia Panorámica
A la evaluación de la radiografía panorámica se observa terceros molares en formación, múltiples piezas deciduas con lesiones cariosas, sin embargo, lo que llama la atención es la zona anterosuperior donde observamos la presencia de una pieza supernumeraria extraósea que ocasiona la impactación y el retraso en la erupción de la pieza 11, asimismo se observa la inclusión de la pieza 21 en posición transversal y la persistencia de la pieza 61.
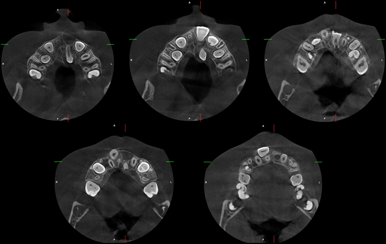
A la evaluación de la tomografía computarizada se puede observar con más claridad el supernumerario denominado “A” de forma rudimentaria que se encuentra por palatino de la pieza 11 y que contacto con la cortical del agujero nasopalatino, asimismo observamos la pieza 21 con la porción coronaria en contacto con la tabla ósea vestibular adelgazándola; finalmente y como hallazgo imagenológico se encontró un segundo supernumerario denominado “B” que se localiza cefálico a la pieza 21 también en posición transversal pero con la porción coronaria en contacto con la tabla ósea palatina y el piso de fosa nasal y finalmente el tercio apical se e en contacto con
la región cervical de la pieza 21.
CORTES AXIALES
CORTES TANGENCIALES
CORTES TRANSAXIALES
RECONSTRUCCIÓN 3D
PARÁFRISIS
La hiperdoncia, es una anomalía de número en la que se forman estructuras dentales en exceso, teniendo como resultado órganos dentales llamados supernumerarios; se observan con una prevalencia del 0.3 al 3.8%5,6 y una incidencia que oscila entre 0.1 y 3.8%, de acuerdo a la oblación que se estudia, de los cuales un tercio de los casos corresponde a mesiodens.
Un diente supernumerario es una pieza dentaria adicional a la formula normal (20 dientes en la dentición temporal y 32 en la permanente). Puede presentarse en las diferentes etapas del desarrollo humano, tanto en la dentición temporal como en la mixta y permanente; constituyen uno de los factores que se asocian a la etiología de las maloclusiones y ocasionan alteraciones en la línea media, retención de piezas dentarias, apiñamientos, resorción radicular, diastemas y malformación de otros dientes. Se encuentran en cualquier región de los maxilares y aunque algunos se pueden visualizar parcialmente en la clínica, muchas veces pueden como no parecerse a una pieza dentaria regular.
Los auxiliares de diagnóstico, como las radiografías y actualmente la tomografía cone beam, deben ser aprovechados para ayudar en el diagnóstico clínico y prevenir complicaciones futuras. La imagenología es un medio auxiliar fundamental en odontopediatría y cirugía bucal, que no reemplaza el estudio clínico del paciente sino más bien lo complementa.
Bibliografía:
- Trejo García, W., Mendoza Rodríguez, M., Medina Solís, C. E., Veras Hernández, M. A., Lucas Rincón, S. E., & Casanova Rosado, J. F. (2019). Supernumerario invertido en paladar de un infante: Reporte de un caso clínico. Pediatría (Asunción), 45(3), 237-241.

Dra. Margarita Leando
Especialista en Radiología Oral y Maxilofacial
Cirujana dentista especialista en Radiologia Bucal y Maxilofacial de la Universidad Peruana Cayetano Heredia. Actualmente miembro del Staff de Radiólogos del Instituto de Diagnóstico Maxilofacial - IDM.
Más información



