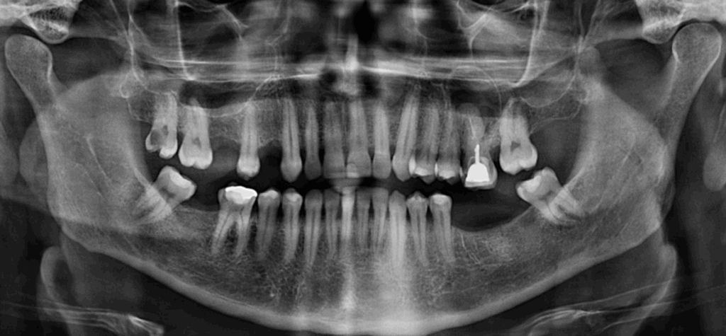
Paciente masculino de edad acude a IDM para realizarse un estudio imagenológico para un diagnóstico en general. A la evaluación de la radiografía panorámica se observa una imagen radiolúcida de forma ovalada y corticalizada proyectada sobre el seno maxilar del lado izquierdo en aparente relación a la pieza 26 que a su vez presentaba una restauración protésica con falta de sellado, espigo intrarradicular y obturación de conductos. Asimismo, se observó aplanamiento del contorno condilar del lado derecho, neumatización de ambos senos maxilares, reabsorción ósea del proceso alveolar, múltiples piezas ausentes y restauraciones coronarias, lesión cariosa amplia con probable compromiso pulpar en la pieza 17, y lesión cariosa recidivante en pieza 46.
Radiografia Panorámica

A la evaluación de la tomografía computarizada en cortes axiales, transaxiales y tangenciales se observa la pieza 16 con la raíz mesiovestibular con una obturación parcial y sobre extendida del conducto, asimismo presenta un conducto colateral obliterado y un proceso osteolítico periapical y reabsorción radicular externa del tercio apical; la raíz distovestibular presenta también una obturación parcial de conducto y la raíz palatina presenta un espigo intrarradicular, obturación parcial y subextendida del conducto y una imagen hipodensa corticalizada que desplaza hacia cefálico el piso de seno maxilar y compromete la tabla ósea palatina compatible con quiste radicular, asimismo ocasiona un engrosamiento de la mucosa antral ipsilateral compatible con sinusitis de origen odontogénico.
CORTES AXIALES

CORTES TANGENCIALES

CORTES TRANSAXIALES

RECONSTRUCCIÓN 3D

Parafrisis
El quiste radicular es una de las lesiones quísticas odontogénicas más comunes en los maxilares. Es de naturaleza inflamatoria y se presenta principalmente en relación con un diente no vital. Suele presentarse en etapas posteriores de la vida, ya que su formación es el último paso en la progresión de la inflamación tras una infección periapical. Es la lesión quística odontogénica inflamatoria más común de los huesos maxilares y representa más del 50 % de todos los quistes odontogénicos. La incidencia del CR es mayor entre la tercera y la sexta décadas de la vida.
Cerca del 30% de los casos de sinusitis maxilar unilateral pueden presentar una patología dental subyacente . La falta de identificación de una causa dental suele dar lugar a casos de sinusitis recalcitrante, a menudo asociada a complicaciones graves. Una revisión sistemática reciente que estudió las causas de OMS desde enero de 1980 hasta enero de 2013, entre 674 pacientes, mostró que la etiología iatrogénica representó el 65,7% de los casos, las patologías periodontales apicales el 25,1%, periodontitis apical un 16%, granulomas apicales un 5%, quistes odontogénicos un 2,5% y la periodontitis marginal el 8,3%. El tratamiento quirúrgico de la OMS se basa fundamentalmente en la cirugía dental, combinada con cirugía endoscópica sinusal, para eliminar completamente la infección, restablecer el drenaje fisiológico de los senos paranasales y prevenir las recurrencias de la sinusitis.
Bibliografía:
- George Psillas, Despoina Papaioannou, Spyridoula Petsali, Grigorios George Dimas, Jiannis Constantinidis. Odontogenic maxillary sinusitis: A comprehensive review. Journal of Dental Sciences.2021: 474-481.
- Bahadure RN, Khubchandani M, Thosar NR, Singh RK. Radicular cyst of primary tooth associated with maxillary sinus. BMJ Case Rep. 2013 Jul 5;2013:2013009146.

Dra. Margarita Leando
Especialista en Radiología Oral y Maxilofacial
Cirujana dentista especialista en Radiologia Bucal y Maxilofacial de la Universidad Peruana Cayetano Heredia. Actualmente miembro del Staff de Radiólogos del Instituto de Diagnóstico Maxilofacial - IDM.
Más información