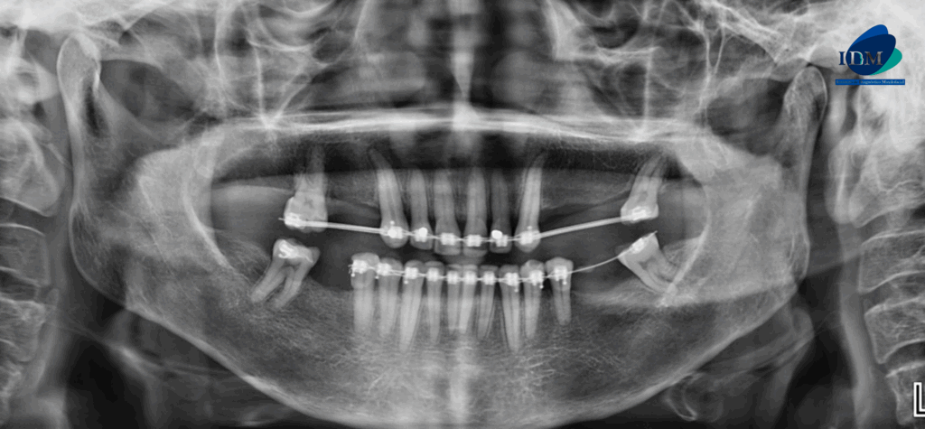
Paciente femenino de 58 años acude al Instituto de Diagnostico Maxilofacial para realizarse una tomografía para la colocación de implante dentales. A la evaluación de la radiografía panorámica se observa paciente edéntulo parcial y dispositivo de ortodoncia fija en piezas del maxilar superior e inferior, asimismo se observa la bifurcación del conducto dentario inferior del lado derecho que se extiende hacia la zona retromolar (variante anatómica)
Radiografia Panorámica
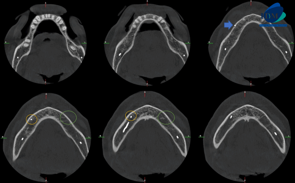
A la evaluación de la tomografía computarizada en vistas axiales, sagitales y coronal se puede observar la ausencia del agujero mentoniano del lado izquierdo y la continuidad de la tabla ósea vestibular en zona de premolares, sin embardo si se observan conductos incisivos vestibulares.
CORTES AXIALES
CORTES CORONALES
CORTES SAGITALES
RECONSTRUCCIÓN 3D
Parafrisis
El foramen mentoniano es una estructura anatómica importante en el maxilar inferior, representa la salida del nervio mentoniano más allá de la mandíbula. Aunque frecuentemente se localiza bajo los ápices de los dos premolares mandibulares, puede presentar numerosas variaciones anatómicas.
El avance de especialidades como la implantología dental y su creciente popularidad, ha aumentado la posibilidad de realizar procedimientos quirúrgicos cerca del agujero mentoniano. Por lo tanto, es crucial un conocimiento anatómico detallado de la región y sus variaciones.
Por lo general, se observan como una abertura ovalada o redonda bilateral en la superficie lateral de la mandíbula, pero se han reportado algunas variaciones en la literatura.
La razón para la ausencia no está clara. La causa subyacente más probable parece ser agenesia congénita, ya que en los casos que se han informados no existía evidencia de trauma.
Aunque esta variación puede encontrarse de forma bilateral, hasta el momento se han descrito muy pocos casos en la literatura y en su mayoría se observaron de forma incidental durante disecciones post mortem.
Finalmente, los estudios encontrados mencionan que la usencia de esta importante estructura no condicionaría al paciente de algún tipo de desorden sensorial.
Bibliografía:
- Ulu M, Tarim Ertas E, Gunhan F, Yircali Atici M, Akcay H. Unilateral Absence of Mental Foramen with Surgical Exploration in a Living Human Subject. Case Rep Dent. 2016; 2016:1971925.
- Lauhr G, Coutant JC, Normand E, Laurenjoye M, Ella B. Bilateral absence of mental foramen in a living human subject. Surg Radiol Anat. 2015;37(4):403–5.

Dra. Margarita Leando
Especialista en Radiología Oral y Maxilofacial
Cirujana dentista especialista en Radiologia Bucal y Maxilofacial de la Universidad Peruana Cayetano Heredia. Actualmente miembro del Staff de Radiólogos del Instituto de Diagnóstico Maxilofacial - IDM.
Más información



