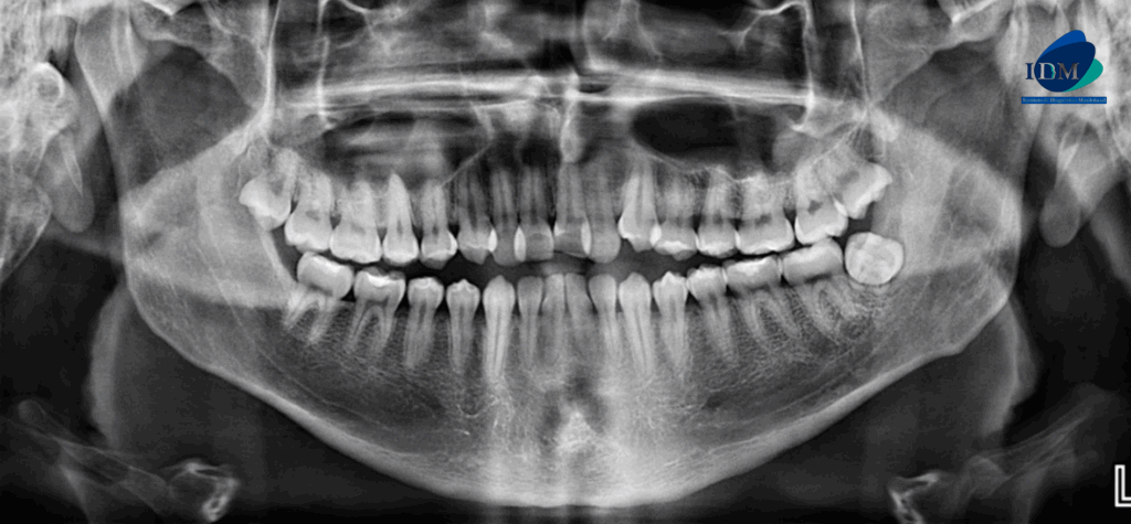
Paciente masculino de 22 años acude al Instituto de Dianóstico Maxilofacial para realizarse una tomografía macizofacial para la colocación de ortodoncia. A la evaluación de la radiografía panorámica se observa la neumatización de ambos senos maxilares, apiñamiento dental anterior, múltiples restauraciones coronarias y la pieza 48 distoangulada y torsión bucolingual.
Radiografia Panorámica

A la evaluación de la tomografía computarizada se puede observar el aumento de la longitud cefalo caudal de la apófisis coronoides bilateral que se extiende superior al borde del arco cigomático.
CORTES AXIALES

CORTES CORONALES

CORTES SAGITALES

RECONSTRUCCIÓN 3D

Parafrisis
se define como una elongación anormal del mismo a expensas de hueso histológicamente normal. Fue descrita inicialmente por Langenbeck en 1853 y luego por Jacob en 1899
El diagnóstico clínico de la hiperplasia de coronoides suele ser difícil, por la tendencia a atribuir sus signos y síntomas a trastornos de ATM. La limitación de apertura bucal es progresiva, indolora. Sin embargo, puede ocasionar retardo en el crecimiento mandibular, atrofia muscular, etc.
La prevalencia de esta entidad es del 0,5%, puede ser uni o bilateral y afecta principalmente a hombres en un 85%, con una edad media en el momento del diagnóstico de entre 30 a 40 años. Su presentación clínica habitual se caracteriza por la disminución progresiva no dolorosa de la apertura oral(<40mm).
La herramienta más útil para su diagnóstico es la tomografía con reconstrucción tridimensional, y su tratamiento de elección es quirúrgico mediante la coronoidectomía.
Bibliografía:
- Moretti E, Cal I, Galetto M, Londoño L, , Blanco R. Hipertrofia del proceso coronoideo. Cirugía Plástica Ibero-Latinoamericana. 2014;40(2):171-177.
- Valenzuela C, Fritz J, Schilling A, Celis C, Hidalgo A. Tomografía computarizada de haz cónico como examen concluyente de hiperplasia de proceso coronoides mandibular bilateral. Reporte de tres casos. Rev Estomatol Herediana. 6 de abril de 2021;31(1):53-9.

Dra. Margarita Leando
Especialista en Radiología Oral y Maxilofacial
Cirujana dentista especialista en Radiologia Bucal y Maxilofacial de la Universidad Peruana Cayetano Heredia. Actualmente miembro del Staff de Radiólogos del Instituto de Diagnóstico Maxilofacial - IDM.
Más información