Paciente femenino de 11 años acude al Instituto de Diagnóstico Maxilofacial para realizarse un conjunto de estudios para ortodoncia.
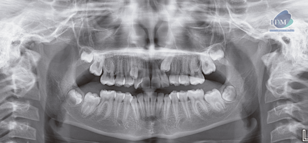
A la evaluación de la radiografía panorámica se observa terceras molares en evolución intraósea, piezas dentarias 18 y 28 en evolución extraósea y distoanguladas; piezas 37 y 47 en evolución extraósea y mesioanguladas; asimismo se observa la 13 en evolución extraósea en posición ectópica y la pieza 23 mesioangulada e impactada.
Radiografia Panorámica

A la evaluación de la tomografía computarizada de campo reducido se observa la porción coronaria de la pieza 23 orientada hacia vestibular y ocasionando el desplazamiento palatino de la pieza 22 así como la reabsorción radicular externa vestibulodistal del tercio medio que también compromete conducto pulpar. Finalmente se observa el tercio apical de la pieza 23 en formación y en contacto con el piso de fosa nasal y seno maxilar.
CORTES AXIALES

CORTES TANGENCIALES

CORTES TRANSAXIALES

RECONSTRUCCIÓN 3D

Parafrisis
La falta de seguimiento y el retraso en el tratamiento del canino impactado puede ocasionar diferentes complicaciones como: desplazamiento de dientes adyacentes, pérdida de vitalidad de dientes vecinos, acortamiento de la arcada dentaria, quistes foliculares, anquilosis canina, infecciones recurrentes, dolor recurrente, reabsorción interna del canino y de los dientes adyacentes, reabsorción externa del canino y de los dientes adyacentes o la combinación de estos factores. Por lo tanto, es clínicamente importante diagnosticar y tratar la afección tan pronto como se pueda.
La reabsorción externa, es un proceso fisiológico o patológico que ocasiona la pérdida de cemento o dentina; asociada con un canino maxilar impactado puede progresar rápidamente hasta amenazar la vitalidad del diente afectado. La presión excesiva del diente impactado estimula las células reabsortivas de la pieza vecina. La eliminación de esta fuente de irritación mecánica puede ralentizar el proceso de reabsorción y permitir que la reparación. En los casos en que la reabsorción ha comprometido el suministro de sangre del diente, este puede requerir un tratamiento endodóntico y en casos graves, la extracción electiva podría ser la única opción viable.
Las radiografías 2D pueden llevar a identificar el problema cuando la reabsorción radicular se hace claramente visible en todo el espesor de la superficie radicular, desde la superficie lingual/palatina hasta la vestibular, o cuando es lo suficientemente avanzada como para alterar el perfil mesiodistal de la raíz. En muchos casos es difícil de diagnosticar debido a la superposición del incisivo y el canino, y porque el grado de reabsorción debe compararse con el espesor inicial de la raíz.
Por tal motivo se recomienda el uso de la tomografía computarizada cone beam ya que permite una visualización, localización y clasificación precisa y exacta de la reabsorción radicular y de los caninos impactados.
Bibliografía:
- Alassiry AM, Hakami Z. Root Resorption of Adjacent Teeth Associated with Maxillary Canine Impaction in the Saudi Arabian Population: A Cross-Sectional Cone-Beam Computed Tomography Study. Applied Sciences. 2022; 12(1):334.
- Guarnieri R, Cavallini C, Vernucci R, Vichi M, Leonardi R, Barbato E. Impacted maxillary canines and root resorption of adjacent teeth: A retrospective observational study. Med Oral Patol Oral Cir Bucal. 2016;21(6):e743-e750.

Dra. Margarita Leando
Especialista en Radiología Oral y Maxilofacial
Cirujana dentista especialista en Radiologia Bucal y Maxilofacial de la Universidad Peruana Cayetano Heredia. Actualmente miembro del Staff de Radiólogos del Instituto de Diagnóstico Maxilofacial - IDM.
Más información