Paciente femenino de 16 años acude al Instituto de Diagnóstico Maxilofacial (sede Miraflores) para evaluación quirúrgica.
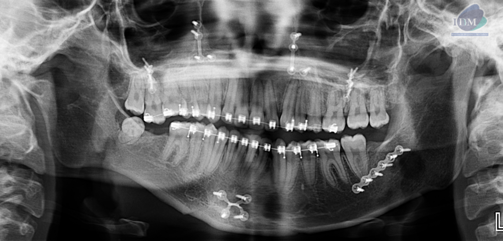
Radiografia Panorámica

A la evaluación de la radiografía panorámica se evidencia múltiples placas con tornillos de fijación bimaxilar así como aparatología de ortodoncia bimaxilar.
Evidenciando una alteración de la morfología de rama mandibular derecha.
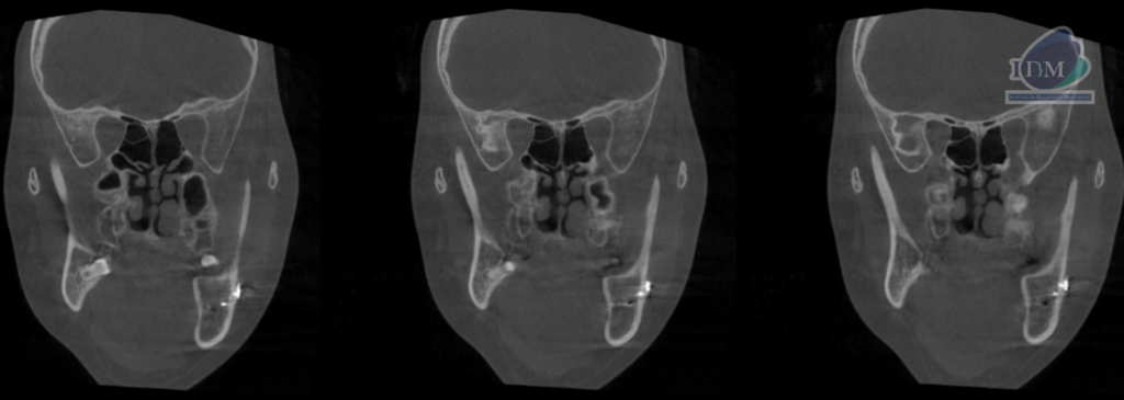
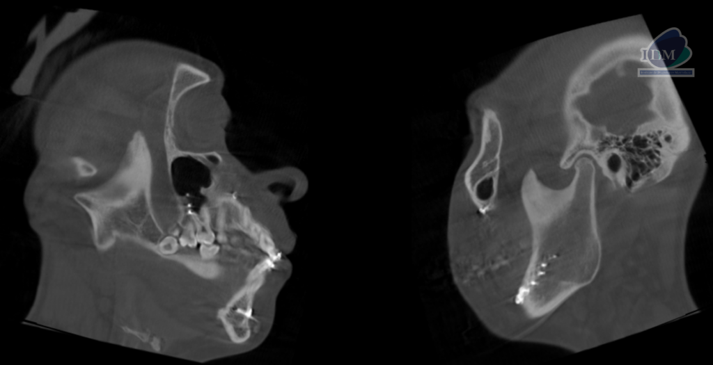
Así mismo en la tomografía volumétrica de haz se confirma una elongación por parte de la apófisis coronoides de lado derecho, extendiéndose sobre el borde superior del arco cigomático de ese mismo lado.
CORTES AXIALES

CORTES CORONALES

CORTES SAGITALES

RECONSTRUCCIÓN 3D

Conclusión imagenológica:
- Hiperplasia de apófisis coronoides de lado derecho.
Parafrisis
La hiperplasia de los procesos coronoideos mandibulares es una entidad muy rara, que se caracteriza por una elongación de los procesos coronoideos compuestos por hueso histológicamente normal.
Esta entidad fue descrita por primera vez por Von Langenbeck en 1853, y publicada ampliamente en 1963 por Rowe, quien la describe como una anormalidad de los procesos coronoideos, dividiéndolos en 2 tipos, causados por el desarrollo o por cambios neoplásicos. Los neoplásicos se caracterizan por ser unilaterales mientras que los del desarrollo son bilaterales, razón por la cual los neoplásicos o unilaterales (enfermedad de Jacob) deben ser excluidos como HPC ya que presentan una microestructura diferente.
La característica clínica principal es la limitación de la abertura oral progresiva y asintomática, sin anormalidad en la oclusión, que combinada se diagnostica por un hallazgo radiográfico luego de una minuciosa observación a detalle de la ortopantomografía. Dicha restricción de los movimientos mandibulares es secundaria a una traba mecánica de los procesos coronoideos que ocurren por detrás del cuerpo del hueso malar. Esta condición se vuelve tan importante que llega a condicionar dificultad respiratoria, retardo en el crecimiento mandibular, atrofia muscular, dificultad para alimentarse, para cepillarse los dientes y, como consecuencia, presencia de caries dentales, las cuales son de muy difícil acceso para cualquier odontólogo. ya que el campo operatorio es muy reducido

Dr. Eduardo Calle
Maestría en Odontología
Cirujano dentista especialista en Radiología Bucal y Maxilofacial. Actualmente es Miembro del Staff de Radiólogos del Instituto de Diagnóstico Maxilofacial- IDM. Además es docente del Pre y Posgrado de la Facultad de Odontología de la Universidad de San Martin de Porres.
Más información