Paciente femenino de 34 años acude al Instituto de Diagnóstico Maxilofacial (sede Miraflores) para evaluación generalizada.
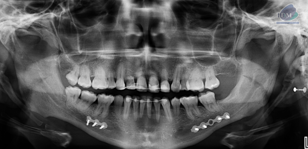
Radiografia Panorámica
A la evaluación de la radiografía panorámica se evidencia una disminución generalizada de la longitud radicular así como la presencia de alambre de fijación en sector dentario anterior y ausencia de algunas piezas dentarias. Siendo lo más resaltante la presencia de un tejido mineralizado en zona cervical de ambos lados, presentando con un patrón lineal pseudoarticulado.
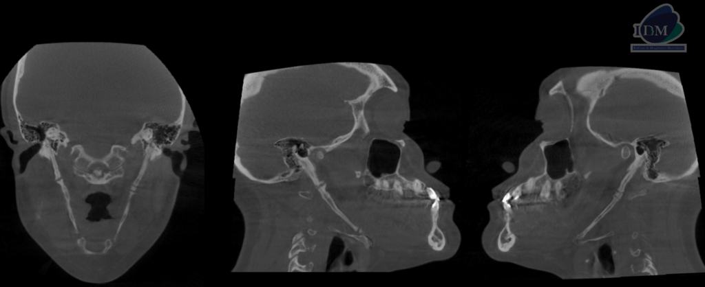
Así mismo en la tomografía volumétrica de haz se confirma dicha mineralización, la cual se extiende desde base de cráneo hacia las astas menores del hueso hioides y presentado un patrón de mineralización pseudoarticulada.
CORTES CORONALES Y SAGITALES
RECONSTRUCCIÓN 3D
RECONSTRUCCIÓN 3D
RECONSTRUCCIÓN 3D
RECONSTRUCCIÓN 3D
Conclusión imagenológica:
- Mineralización bilateral de la cadena estilohioidea del tipo pseudoarticulada.
Parafrisis
Generalmente, la mineralización de la cadena estilohioidea es asintomática; sin embargo existen casos en donde esta mineralización puede comprimir a la arteria carótida, además, del V y/o IX par craneal generando neuralgias. También existe un síndrome conocido como el síndrome de Eagle, el cual además de presentar mineralización de la cadena estilohioidea o proceso estilohioideo, manifiesta disfagia, disfonía, dolor faríngeo, glosítis, otalgia, tonsilitis, dolor facial, cefalea, odinofagia, dolor en la articulación témporomandibular presentándose comúnmente en pacientes entre la tercera y sexta década de vida siendo más común en el sexo femenino
Actualmente se conocen 3 patrones radiográficos:
Tipo I o elongado; que se caracteriza por una integridad ininterrumpida de la imagen estiloides.
Tipo II o pseudoarticulado; en la que la apófisis estiloides está unida al ligamento estilomandibular o al ligamento estilohioideo por una sola pseudoarticulación, la cual se encuentra localizada al borde inferior de la mandíbula (de manera tangencial).
Tipo III o segmentado; que consiste en porciones de la apófisis estiloides que son cortas o largas, observándose discontinuidad o segmentos interrumpidos del ligamento mineralizado.

Dr. Eduardo Calle
Maestría en Odontología
Cirujano dentista especialista en Radiología Bucal y Maxilofacial. Actualmente es Miembro del Staff de Radiólogos del Instituto de Diagnóstico Maxilofacial- IDM. Además es docente del Pre y Posgrado de la Facultad de Odontología de la Universidad de San Martin de Porres.
Más información



