Paciente femenina de 65 años acude al centro para una tomografía de cráneo completo para una evaluación general. A la evaluación de la radiografía panorámica se observa aplanamiento y erosión del contorno condilar bilateral que ocasiona la presencia de osteofito en el cóndilo del lado derecho compatible con un proceso degenerativo articular. Asimismo, se observa la neumatización de ambos senos maxilares, la reabsorción ósea moderada del proceso alveolar, la presencia de dispositivo de ferulización en piezas anterosuperiores y anteroinferiores, múltiples restauraciones coronarias, tratamiento de conductos en las piezas 18 y 47, presencia de implante dental con corona protésica en zona de pieza 27. Finalmente se observa una imagen radiopaca difusa de forma irregular que se proyecta en cuerpo mandibular del lado izquierdo sobre la porción radicular de la pieza 32 hasta la pieza 36.
Radiografia Panorámica

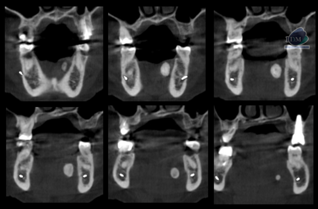
A la evaluación de la tomografía computarizada cone beam en cortes axiales, coronales y transaxiales se observa una imagen hiperdensa con una pequeña área hipodensa central que se localiza por lingual de aproximadamente 20 mm, a nivel del tercio apical de la pieza 33 hasta la raíz distal de la pieza 36. En la reconstrucción en 3D se puede observar de manera más didáctica la relación con las estructuras adyacentes y la forma que presenta, signos imagenológicos compatible con sialolito submandibular.
CORTES AXIALES

CORTES CORONALES

CORTES TRANSAXIALES

RECONSTRUCCIÓN 3D

Parafrisis
Los sialolitos pertenecen a la categoría de calcificación idiopática. Son depósitos cálcicos en los conductos de las glándulas salivales mayores y menores o en su parénquima. Los cálculos pueden ser asintomáticos y presentarse como un hallazgo incidental, o pueden presentarse típicamente con una hinchazón dolorosa recurrente después de las comidas, conocida como «síndrome de la hora de comer». Ben Lagha postuló dos fases distintas para la formación de sialolitos: en la primera fase, factores irritantes activan una respuesta y causan una contracción espasmódica del canalículo y estasis de saliva. La segunda fase es fisicoquímica y conlleva a la formación del cálculo.
Los estudios de imagenología son muy útiles para el diagnóstico de un sialolito. Para visualizar cuerpos calcificados en el conducto submandibular se puede recurrir a una radiografía oclusal mandibular. Otros métodos de diagnóstico tradicionales incluyen una sialografía, ultrasonido, tomografía computarizada, sialoendoscopia y gammagrafía.
Los sialolitos de más de 15 mm en cualquier dimensión se consideran grandes, mientras que los de 35 mm o más se consideran gigantes.
El tratamiento suele depender del tamaño y la ubicación del sialolito, en la mayoría de casos el tratameinto conservador suele ser l aprimera opción, se puede administrar hidratación, calor infrarrojo, masajes o ingerir alimentos como el limón. Algunas de las opciones quirúrgicas son: la escisión intraoral del cálculo en el conducto, la escisión de la glándula submandibular y el cálculo con un abordaje externo o la litotripsis extra- e intracorpórea.
Bibliografía:
- Ashindoitiang JA, Nwagbara VIC, Ugbem T, Odoks RK, Udo Solomon A, Akpan SO et al. Huge sialolith of the submandibular gland: a case report and review of literature. J Int Med Res. 2023 Jan;51(1):3000605221148443.
- Rebolledo Cobos M, Carbonell Muñoz Z, Díaz Caballero A. Sialolitos en conductos y glándulas salivales: Revisión de literatura. Av Odontoestomatol. 2009 Dic; 25( 6 ): 311-317.
- Nilesh K, Kothi HS, Vande A, Reddy S. Giant sialolith mimicking an impacted tooth. BMJ Case Rep. 2020 Feb 28;13(2):e233434.

Dra. Margarita Leando
Especialista en Radiología Oral y Maxilofacial
Cirujana dentista especialista en Radiologia Bucal y Maxilofacial de la Universidad Peruana Cayetano Heredia. Actualmente miembro del Staff de Radiólogos del Instituto de Diagnóstico Maxilofacial - IDM.
Más información