Paciente femenino de 63 años de edad, es referido al Instituto de Diagnóstico Maxilofacial – IDM para evaluación general mediante estudio tomográfico.
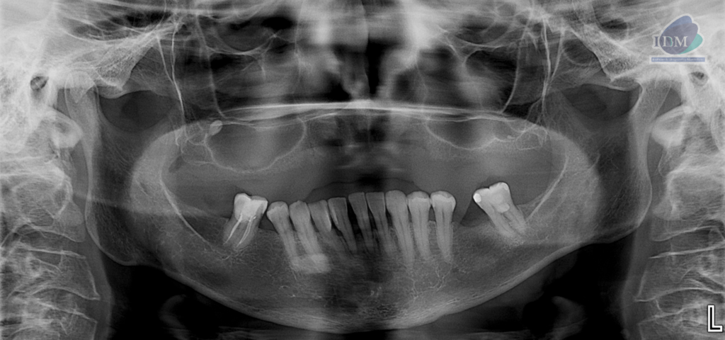
En la radiografía panorámica (Figura 1), se aprecia imagen radiopaca proyectada en tercio apical de pieza 43 y 44, de limites definidos.
Radiografia Panorámica
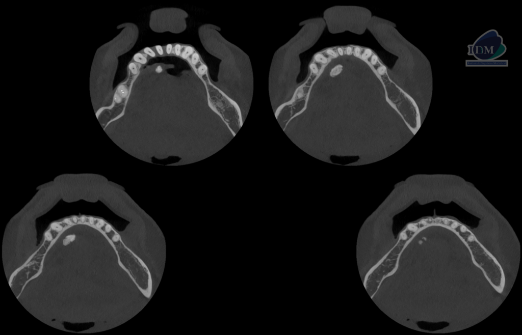
A la evaluación de la tomografía volumétrica (CBCT) en los cortes axiales (Figura 2) y transaxiales (Figura 3), se aprecia imagen hiperdensa de densidad cálcica localizada en lingual del cuerpo mandibular derecho a nivel de tercio apical de piezas 43 y 44, de limites definidos, forma irregular.
En las reconstrucciones 3D se representa de manera didáctica la localización y relación del sialolito con estructuras adyacentes. (Figura 4).
CORTES AXIALES
CORTES TRANSAXIALES
RECONSTRUCCIÓN 3D
Conclusión:
- Características imagenológicas compatible con Sialolito en conducto de Wharton de la glándula submandibular del lado derecho.
Bibliografía:
- Rivera J, Castillo G. Sialolito submandibular. Reporte de un caso. Revista ADM 2015; 72 (5): 255-258.
- Rebolledo M, Carbonell Z, Díaz A. Sialolitos en conductos y glándulas salivales. Revisión de literatura. Av. Odontoestomatol 2009; 25 (6): 311-317.

Dr. Cesar Castillo Rios
Especialista en radiología bucal y maxilofacial
Cirujano Dentista especialista en Radiología Bucal y Maxilofacial de la Universidad de San Martin de Porres (USMP). Actualmente miembro del Staff de Radiólogos del Instituto de Diagnostico Maxilofacial - IDM
Más información



