Paciente femenina de 72 años es referido al Instituto de Diagnostico Maxilofacial para una evaluación por imágenes sobre su estado de salud oral general.
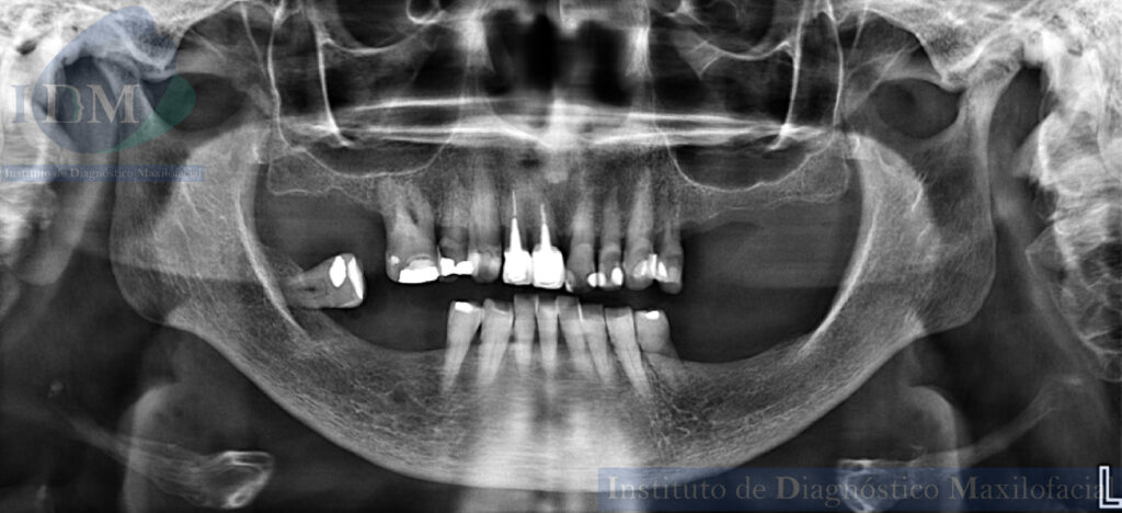
Al observar la radiografía panorámica se aprecia, el aplanamiento del contorno condilar bilateral, la neumatización de ambos senos maxilares, edentulismo parcial de ambos maxilares, múltiples piezas dentarias con restauraciones coronarias. Piezas 12-11 con coronas protésicas, espigos intrarradiculares y obturación de conducto, asimismo se observa la reabsorción ósea del proceso alveolar.
Radiografia Panorámica
A la evaluación de la tomografía computarizada de haz cónico de campo mediano (10 x 10) se aprecia un hallazgo imagenológico no observado en la radiografía panorámica.
En cortes axiales se puede observar la presencia de una pieza supernumeraria rudimentaria localizada a nivel del tercio medio del paladar duro del lado derecho adyacente a la sutura intermaxilar. La porción coronaria se orienta hacia la espina nasal posterior y el tercio apical hacia anterior con ensanchamiento de espacio para el ligamento periodontal apical. Asimismo, en los cortes axiales, coronales y sagital se evidencia la pérdida de continuidad de la superficie coronaria y la alteración en su morfología caracterizada por la presencia de imágenes hipondesas, signos imagenológicos compatibles con ameloclasia.
CORTES AXIALES
CORTES CORONALES
RECONSTRUCCIÓN 3D
Parafrisis
Se sabe que el número de dientes en la dentición permanente es de 28 a 32, sin embargo existen las anomalías en el desarrollo dental y ocurre la alteración que superan este número por la presencia de más piezas dentarias. A esas dientes sobrantes se les llama supernumerarios. Existen muchas clasificaciones según su forma, número o ubicación sin embargo según los últimos estudios el 98% de los casos ocurren en el maxilar, los incisivos laterales superiores representan el 50%, los mesiodens el 36%, los incisivos centrales superiores el 11% y los premolares el 3%.
Existe también la discusión sobre los efectos que tienen los supernumerarios sobre las estructuras adyacentes. Los efectos más comunes observados son la reabsorción de la raíz de dientes permanentes, divergencias, desplazamientos y la alteración en el proceso eruptivo adecuado. Así también pueden tener más probabilidades de formar patologías de origen odontogénico o invadir estructuras anatómicas vecinas.
La ameloclasia es una alteración del esmalte provocado por células clásticas, poco ha sido estudiada en el ámbito dental, se encuentran estudios sobre proteínas que estimulan la resorción ósea o la inhiben a partir de factores genéticos u ambientales.
El esmalte del diente definitivo humano, tanto si está incluido como si ya ha erupcionado, puede sufrir procesos de resorción a condición de que la superficie afectada: 1º carezca de una adecuada capa de protección orgánica (epitelial, de pre-dentina /dentina o de pre-cemento / cemento), 2º esté en contacto prolongado con los tejidos vascularizados inflamados (pulpitis camerales crónicas progresivas, periodontitis con resorción dentaria de progresión coronal o inflamación crónica del saco folicular) y 3º sea invadida por un tejido de granulación.
Bibliografía:
- Suljkanovic N, Balic D, Begic N. Supernumerary and Supplementary Teeth in a Non-syndromic Patients. Med Arch. 2021 Feb;75(1):78-81.
- Liu X, Ren Q, Bai J, Kang P, Ren G, Li X, Feng X. Imaging analysis of 1 138 supernumerary teeth by using cone-beam computed tomography. Hua Xi Kou Qiang Yi Xue Za Zhi. 2023 Dec 1;41(6):671-677.
- Del Nero-Viera Guillermo. Ameloclasia. La resorción del esmalte: Casos clínicos. RCOE. 2005 Dic; 10( 5-6 ): 573-595.

Dra. Margarita Leando
Especialista en Radiología Oral y Maxilofacial
Cirujana dentista especialista en Radiologia Bucal y Maxilofacial de la Universidad Peruana Cayetano Heredia. Actualmente miembro del Staff de Radiólogos del Instituto de Diagnóstico Maxilofacial - IDM.
Más información



