Paciente femenino de 17 años de edad, es referido al Instituto de Diagnóstico Maxilofacial – IDM para evaluación por presentar dolor en zona anteroinferior del maxilar inferior.
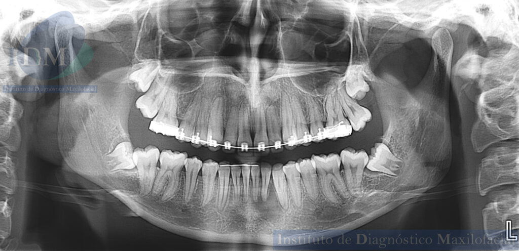
En la radiografía panorámica (Figura 1), se aprecia proceso osteolítico periapical en pieza 32.
Radiografia Panorámica
A la evaluación de la tomografía volumétrica (CBCT) en los cortes axiales (Figura 2) y transaxiales (Figura 3), se aprecia proceso osteolítico periapical en pieza 32 que ocasiona el borramiento parcial de la lámina dura de piezas 33 y 31, a la vez se evidencia presencia de dos conductos a nivel de tercio cervical y medio que convergen a nivel apical en piezas 32, 31, 41, 42.
En las reconstrucciones 3D se representa la presencia de dos conductos radiculares en piezas anteriores del maxilar inferior. (Figura 4).
CORTES AXIALES
CORTES TRANSAXIALES
RECONSTRUCCIÓN 3D
Conclusión:
Presencia de dos conductos radiculares en piezas anteriores del maxilar inferior.
Paráfrasis
La morfología de los incisivos centrales y laterales inferiores es bastante parecida y, en realidad, es más compleja de lo que aparenta en las radiografías periapicales, ya que puede incluir bifurcaciones y canales laterales. La bifurcación del canal radicular es el punto donde el canal se divide en dos canales más pequeños que pueden seguir trayectorias diferentes y, en ocasiones, reunirse nuevamente para formar un solo canal.
Se solía pensar que los incisivos inferiores generalmente contaban con un solo canal y una única raíz. Sin embargo, un estudio de Rankine et al. en 1965 reveló una alta frecuencia de dos canales en estos incisivos, lo que impulsó nuevas investigaciones en este ámbito.
Varios autores han examinado la morfología del conducto radicular en incisivos mandibulares extraídos, reportando que la presencia de dos canales ocurre en un 12-35% de los casos.
Bibliografía:
Kokane V, Patil S, Gunwal M, Kubde R, Atre S. Treatment of two canals in all mandibular incisor teeth in the same patient. Case Rep Dent. 2014.
Astudillo K. Anatomía interna de incisivos inferiores. Revista Reporteando Cuenca. 2014; 1(1):20-24.

Dr. Cesar Castillo Rios
Especialista en radiología bucal y maxilofacial
Cirujano Dentista especialista en Radiología Bucal y Maxilofacial de la Universidad de San Martin de Porres (USMP). Actualmente miembro del Staff de Radiólogos del Instituto de Diagnostico Maxilofacial - IDM
Más información



