Paciente de sexo femenino acude para realizarle estudios imagenológicos con la finalidad de una diagnostico general.
A la evaluación de la radiografía panorámica se observa paciente Edéntulo total del maxilar superior, piezas dentarias del maxilar inferiores con múltiples restauraciones coronarias, reabsorción ósea del proceso alveolar y la pieza 44 con obturación de conducto.
Radiografia Panorámica
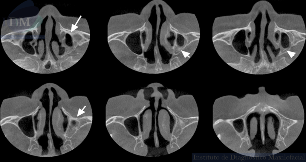
A la evaluación de la tomografía computarizada de haz cónico de campo mediano se observa la disminución de la longitud cefalo caudal y antero posterior del seno maxilar del lado izquierdo en comparación a su contralateral (visto en los cortes coronales y axiales respectivamente).
Asimismo, se observa el engrosamiento de la mucosa antral a predominio de la pared posterior que a su vez presenta una imagen hiperdensa de forma irregular compatible con probable Antrolito. Finalmente, en zonas edéntulas de premolares y molares del segundo cuadrante se observa el trabeculado óseo característico del maxilar superior que debería estar ocupado por el seno maxilar.
CORTES AXIALES
CORTES CORONALES
CORTES SAGITALES
RECONSTRUCCIÓN 3D
Parafrisis
El seno maxilar) se encuentra dentro del hueso maxilar y desemboca en el infundíbulo etmoidal de la pared nasal lateral, que a su vez es un pasaje estrecho en el lado externo del proceso uncinado.
Comienza a desarrollarse en la décima y doceava semana de gestación y la cavidad se vuelve identificable a las 16 semanas de gestación. Al nacer, el volumen del seno maxilar es de 6 a 8 mm 3 , y aumenta con el crecimiento de la cavidad nasal, la pared infraorbitaria, el proceso alveolar y el proceso cigomático. El volumen del antro maxilar aumenta vertical y lateralmente 2 mm por año y 3 mm por año anteroposteriormente.
Bolger definió la hipoplasia del seno maxilar (HSM) como una “anomalía ocasional de los senos paranasales”, incluso cuando es más pequeño el seno maxilar conserva una configuración piramidal, aunque truncada. Las etiologías sindrómicas de la HSM se pueden dividir ampliamente en falta de desarrollo por falla del crecimiento del esqueleto mediofacial. La hipoplasia del seno maxilar puede estar asociada con sinusitis debido a la obstrucción del complejo osteomeatal. Cabe resaltar que la forma unilateral es más común que la condición bilateral en la mayoría de los estudios. La hipoplasia del seno maxilar puede ser congénita o adquirida (debida a cirugía o traumatismo). La mayoría de los casos no causan ningún síntoma en los pacientes, quienes desconocen su condición, y generalmente se diagnostica de manera incidental.
Bibliografía:
- Ilie AC, Jianu AM, Rusu MC, Mureșan AN. Anatomical Changes in a Case with Asymmetrical Bilateral Maxillary Sinus Hypoplasia. Medicina (Kaunas). 2022 Apr 20;58(5):564.
- Dedeoğlu N, Duman SB. Clinical significance of maxillary sinus hypoplasia in dentistry: A CBCT study. Dent Med Probl. 2020 Apr-Jun;57(2):149-156

Dra. Margarita Leando
Especialista en Radiología Oral y Maxilofacial
Cirujana dentista especialista en Radiologia Bucal y Maxilofacial de la Universidad Peruana Cayetano Heredia. Actualmente miembro del Staff de Radiólogos del Instituto de Diagnóstico Maxilofacial - IDM.
Más información



