Paciente femenino de 81 años acude al Instituto de Diagnóstico Maxilofacial (sede Miraflores) para evaluación de la articulación temporomandibular.
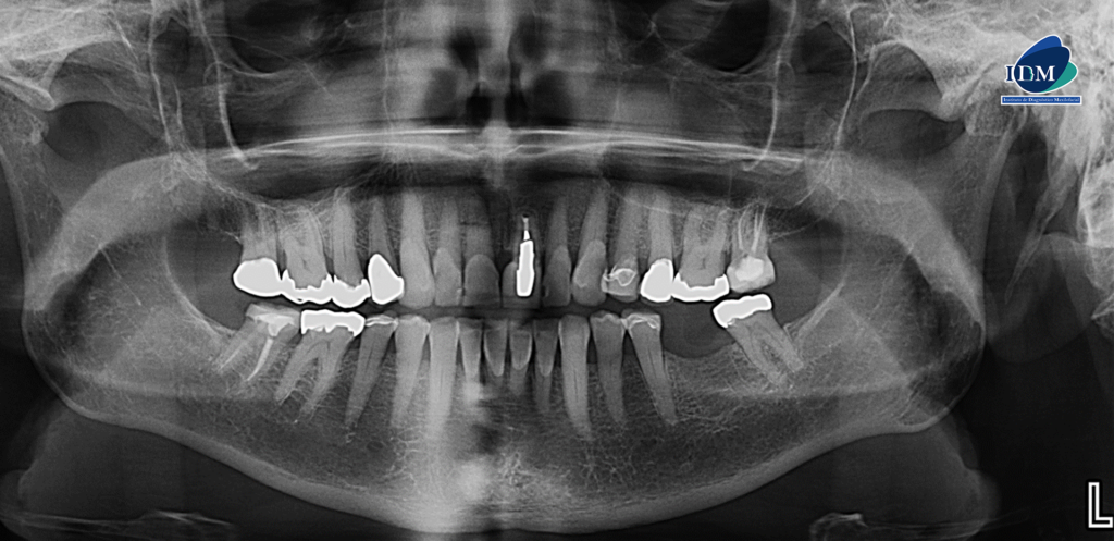
Radiografia Panorámica
A la evaluación de la radiografía panorámica se evidencia un aplanamiento severo del contorno de cóndilos mandibulares.
Así mismo en la tomografía volumétrica de haz cónico a boca abierta se evidencian osteofitos anteriores en ambos cóndilos mandibulares con disminución severa del espacio interarticular, sumado a la alteración de la morfología y estructura condilar. Finalmente, se evidencia una deformación de las vertientes de ambas eminencias articulares.
CORTES AXIALES
CORTES CORONALES Y SAGITALES
RECONSTRUCCIÓN 3D
Conclusión:
- Osteoartrosis bilateral
Paráfrasis:
Los trastornos temporomandibulares (TTM) pueden clasificarse en 3 grupos: trastornos musculares, desarreglos internos y enfermedades degenerativas.
Históricamente estas últimas se han pasado por alto como base estructural de los TTM.
La osteoartrosis es una enfermedad no inflamatoria que se caracteriza por un patrón reaccional de la articulación frente a la lesión. Puede observarse un deterioro, abrasión del cartílago articular, de las superficies de tejido blando, un engrosamiento, remodelación del hueso subyacente, formación de espolones marginales y quistes subarticulares. Estos cambios son muy frecuentes en pacientes de edad avanzada, pero a menudo son asintomáticos.
Los pacientes pueden manifestar síntomas y presentar una discapacidad severa cuando la osteoartrosis se asocia con una sinovitis. Los cambios inflamatorios secundarios como consecuencia de la lesión tisular en la articulación intervienen en la aparición del dolor. El término osteoartritis describe mejor esta artropatía inflamatoria secundaria.
Bibliografía:
1.- Click aquí
2.- Click aquí

Dr. Eduardo Calle
Maestría en Odontología
Cirujano dentista especialista en Radiología Bucal y Maxilofacial. Actualmente es Miembro del Staff de Radiólogos del Instituto de Diagnóstico Maxilofacial- IDM. Además es docente del Pre y Posgrado de la Facultad de Odontología de la Universidad de San Martin de Porres.
Más información



